A case of a huge gastroepiploic arterial aneurysm
- PMID: 26246477
- PMCID: PMC4525054
- DOI: 10.1093/jscr/rjv100
A case of a huge gastroepiploic arterial aneurysm
Abstract
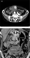
An 85-year-old man complaining of vague abdominal discomfort was admitted to our hospital. A pulsatile 8 × 7-cm mass in the right upper abdomen was noticed on clinical examination. Computed tomography of the abdomen showed a huge arterial aneurysm in the right gastroepiploic artery, and the left gastroepiploic artery was meandering and expanding. An image diagnosis of gastroepiploic arterial aneurysm (GEAA) was made. Because of the huge size of the aneurysm and the predicted high risk of perforation, surgical intervention was planned. The aneurysm was identified in the greater curve and was found to adhere firmly to the transverse colon. Partial resection of the stomach, aneurysmectomy and partial resection of the transverse colon were performed. Clinically, splanchnic arterial aneurysms are rare. Among them, GEAA is especially rare. We report a rare case of a huge GEAA that was treated successfully by surgery.
Published by Oxford University Press and JSCR Publishing Ltd. All rights reserved. © The Author 2015.
Figures



References
-
- Carmeci C, McClenathan J. Visceral artery aneurysms as seen in a community hospital. Am J Surg 2000;179:486–9. - PubMed
-
- Funahashi S, Yukizane T, Yano K, Yamaga H, Muto Y, Ikeda T et al. . An aneurysm of the right gastroepiploic artery. J Cardiovasc Surg (Torino) 1997;38:385–8. - PubMed
-
- Kato R, Ishida H, Komatsuda T, Yagisawa H, Ishii T. Sonographic detection of an aneurysm of the gastroepiploic artery. J Clin Ultrasound 2010;38:41–4. - PubMed
Publication types
LinkOut - more resources
Full Text Sources
Other Literature Sources