Skip to main page content
U.S. flag

An official website of the United States government

Dot gov

The .gov means it’s official.
Federal government websites often end in .gov or .mil. Before sharing sensitive information, make sure you’re on a federal government site.

Https

The site is secure.
The https:// ensures that you are connecting to the official website and that any information you provide is encrypted and transmitted securely.

Access keys NCBI Homepage MyNCBI Homepage Main Content Main Navigation
. 2015 Jun;77(3):241-3.
doi: 10.1007/s12262-013-0832-5. Epub 2013 Jan 31.

Lethal Bubbles

Affiliations

Lethal Bubbles

Federico Coccolini et al. Indian J Surg. 2015 Jun.

Abstract

The present paper reports the case of a hyperacute gaseous gangrene diffuse to the whole body.

Keywords: Acute; Gangrene; Gassous; Lethal.

PubMed Disclaimer

Figures

Fig. 1
Fig. 1
Gas gangrene of the inferior limb
Fig. 2
Fig. 2
Bubbles along the inferior limbs vessels
Fig. 3
Fig. 3
Gangrene of the pelvis
Fig. 4
Fig. 4
Bubbles inside the abdomen
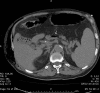
Fig. 5
Fig. 5
Chest wall gangrene
Fig. 6
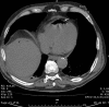
Fig. 6
Bubbles inside pericardium
Fig. 7
Fig. 7
Bubbles at the apex of thorax

LinkOut - more resources