Aneurysmal Bone Cyst of the Temporal Bone Presenting with Headache and Partial Facial Palsy
- PMID: 26251800
- PMCID: PMC4520979
- DOI: 10.1055/s-0034-1390020
Aneurysmal Bone Cyst of the Temporal Bone Presenting with Headache and Partial Facial Palsy
Abstract
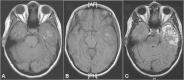
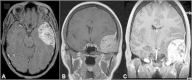
Background Aneurysmal bone cysts (ABCs) are benign bony lesions that rarely affect the skull base. Very few cases of temporal bone ABCs have been reported. We describe the first case of a temporal bone ABC that was thought to be consistent with a meningioma based on preoperative magnetic resonance imaging (MRI) findings. Clinical Presentation An otherwise healthy 23-year-old woman presented with a pulsatile noise in her left ear and a 4-week history of throbbing headache with nausea. There was no associated emesis, visual or auditory changes, or other neurologic features. Neurologic examination revealed a left lower motor neuron facial paresis. Computed tomography and MRI studies demonstrated a large lesion in the left middle cranial fossa skull base with erosion of the petrous temporal bone. Based on the presence of a "dural tail" on preoperative contrast-enhanced T1-weighted imaging, the lesion was interpreted to likely be consistent with a meningioma. An orbitozygomatic approach was utilized for surgical excision. Histopathologic evaluation was consistent with an ABC. Conclusion Postoperatively the patient had improvement in the lower motor neuron facial paresis. It is important to consider ABC in the differential diagnosis of intracranial lesions accompanied by the dural tail sign on MRI.
Keywords: aneurysmal bone cyst; dural tail sign; skull base; temporal bone.
Figures




References
-
- Biesecker J L, Marcove R C, Huvos A G, Miké V. Aneurysmal bone cysts. A clinicopathologic study of 66 cases. Cancer. 1970;26(3):615–625. - PubMed
-
- Lichtenstein L. Aneurysmal bone cyst; observations on fifty cases. J Bone Joint Surg Am. 1957;39-A(4):873–882. - PubMed
-
- Mankin H J, Hornicek F J, Ortiz-Cruz E, Villafuerte J, Gebhardt M C. Aneurysmal bone cyst: a review of 150 patients. J Clin Oncol. 2005;23(27):6756–6762. - PubMed
-
- Vergel De Dios A M, Bond J R, Shives T C, McLeod R A, Unni K K. Aneurysmal bone cyst. A clinicopathologic study of 238 cases. Cancer. 1992;69(12):2921–2931. - PubMed
-
- Jaffe H, Lichtenstein L. Solitary unicameral bone cyst: with emphasis on the roentgen picture, the pathologic appearance, and the pathogenesis. Arch Surg. 1942;44(6):1004–1025.
Publication types
LinkOut - more resources
Full Text Sources
Other Literature Sources