Surgical repair of pulmonary vein injury from blunt trauma
- PMID: 26263823
- PMCID: PMC4474031
- DOI: 10.1308/003588414X14055925059714
Surgical repair of pulmonary vein injury from blunt trauma
Abstract
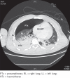
Pulmonary vein deceleration injury is rare and patients can be deceptively stable for a period after injury. Quick diagnosis and transfer to the operating theatre is the only way to treat this potentially lethal injury successfully. Techniques of repair are a useful addition to the cardiovascular surgeon's repertoire.
Keywords: Cardiopulmonary bypass; Deceleration injury; Left atrial wall; Left atrium; Pulmonary vein.
Figures




References
-
- Hawkins ML, Carraway RP, Ross SE et al. Pulmonary artery disruption from blunt thoracic trauma. Am Surg 1988; 54: 148–152. - PubMed
-
- Varghese D, Patel H, EW Cameron, Robson M. Repair of pulmonary vein rupture after deceleration injury. Ann Thorac Surg 2000; 70: 656–658. - PubMed
-
- Sancton TA. Death of a princess. Did Princess Diana have to die? A case study in French emergency medicine. Internet J Rescue Disaster Med 1999; 1: DOI: 10.5580/268a.
-
- Le Guyader A, Bertin F, Laskar M, Cornu E. Blunt chest trauma: a right pulmonary vein rupture. Eur J Cardiothorac Surg 2001; 20: 1,054–1,056. - PubMed
Publication types
MeSH terms
LinkOut - more resources
Full Text Sources
Medical