Deletion of the tyrosine phosphatase Shp2 in Sertoli cells causes infertility in mice
- PMID: 26265072
- PMCID: PMC4533007
- DOI: 10.1038/srep12982
Deletion of the tyrosine phosphatase Shp2 in Sertoli cells causes infertility in mice
Abstract
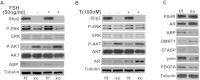
The male's ability to reproduce is completely dependent on Sertoli cells. However, the mechanisms governing the functional integrity of Sertoli cells have remained largely unexplored. Here, we demonstrate that deletion of Shp2 in Sertoli cells results in infertility in mice. In Shp2 knockout mice (SCSKO), a normal population of Sertoli cells was observed, but the blood-testis barrier (BTB) was not formed. Shp2 ablation initiated the untimely and excessive differentiation of spermatogonial stem cells (SSCs) by disturbing the expression of paracrine factors. As a consequence, the process of spermatogenesis was disrupted, and the germ cells were depleted. Furthermore, Shp2 deletion impaired the cell junctions of the primary Sertoli cells and failed to support the clonal formation of SSCs co-cultured with SCSKO Sertoli cells. As expected, Shp2 restoration largely restores the cell junctions of the primary Sertoli cells and the clonal formation of SSCs. To identify the underlying mechanism, we further demonstrated that the absence of Shp2 suppressed Erk phosphorylation, and thus, the expression of follicle-stimulating hormone (FSH)- and testosterone-induced target genes. These results collectively suggest that Shp2 is a critical signaling protein that is required to maintain Sertoli cell function and could serve as a novel target for male infertility therapies.
Figures







References
-
- Tarulli G. A., Stanton P. G. & Meachem S. J. Is the adult Sertoli cell terminally differentiated? Biol Reprod. 87, 13, 1–11 (2012). - PubMed
-
- Hai Y. et al. The roles and regulation of Sertoli cells in fate determinations of spermatogonial stem cells and spermatogenesis. Semin Cell Dev Biol. 29, 66–75 (2014). - PubMed
-
- Sharpe R. M., McKinnell C., Kivlin C. & Fisher J. S. Proliferation and functional maturation of Sertoli cells, and their relevance to disorders of testis function in adulthood. Reproduction. 125, 769–84 (2003). - PubMed
-
- Cortes D., Muller J. & Skakkebaek N. E. Proliferation of Sertoli cells during development of the human testis assessed by stereological methods. Int J Androl. 10, 589–96 (1987). - PubMed
Publication types
MeSH terms
Substances
LinkOut - more resources
Full Text Sources
Other Literature Sources
Medical
Molecular Biology Databases
Research Materials
Miscellaneous