Subxyphoid single-incision thoracoscopic pulmonary metastasectomy
- PMID: 26273365
- PMCID: PMC4448495
- DOI: 10.1111/1759-7714.12189
Subxyphoid single-incision thoracoscopic pulmonary metastasectomy
Abstract
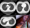
Single-incision thoracoscopic surgery has increasingly attracted public interest and been applied in numerous thoracic procedures. However, single-incision thoracoscopic surgery is associated with requiring subsequent procedures, such as intercostal neuralgia. Herein, we extend the single-port technique of pulmonary metastasectomy through a single subxiphoid approach, and report the first two cases of this procedure to date.
Keywords: Single-port; subxyphoid; thoracoscopic pulmonary metastasectomy.
Figures


References
-
- Rocco G, Martin-Ucar A, Passera E. Uniportal VATS wedge pulmonary resections. Ann Thorac Surg. 2004;77:726–728. - PubMed
-
- Gonzalez-Rivas D, Paradela M, Fernandez R, et al. Uniportal video-assisted thoracoscopic lobectomy: two years of experience. Ann Thorac Surg. 2013;95:426–432. - PubMed
-
- Wang BY, Tu CC, Liu CY, Shih CS, Liu CC. Single-incision thoracoscopic lobectomy and segmentectomy with radical lymph node dissection. Ann Thorac Surg. 2013;96:977–982. - PubMed
-
- Mineo TC, Ambrogi V, Mineo D, Pompeo E. Transxiphoid hand-assisted videothoracoscopic surgery. Ann Thorac Surg. 2007;83:1978–1984. - PubMed
-
- Rocco G, Cicalese M, La Manna C, La Rocca A, Martucci N, Salvi R. Ultrasonographic identification of peripheral pulmonary nodules through uniportal video-assisted thoracic surgery. Ann Thorac Surg. 2011;92:1099–1101. - PubMed
LinkOut - more resources
Full Text Sources
Other Literature Sources
Medical