Skip to main page content
U.S. flag

An official website of the United States government

Dot gov

The .gov means it’s official.
Federal government websites often end in .gov or .mil. Before sharing sensitive information, make sure you’re on a federal government site.

Https

The site is secure.
The https:// ensures that you are connecting to the official website and that any information you provide is encrypted and transmitted securely.

Access keys NCBI Homepage MyNCBI Homepage Main Content Main Navigation
Case Reports
. 2015 Aug 14:2015:bcr2014208469.
doi: 10.1136/bcr-2014-208469.

An atypical limping teenager

Affiliations
Case Reports

An atypical limping teenager

Claire Liegeois et al. BMJ Case Rep. .

Abstract

A 13-year-old boy presented with a 5-day history of left-sided limp of gradual onset. There was no history of trauma. He developed a fever and rigours a few days before presenting to the paediatric emergency department. On examination, he was tender on palpating the left gluteal area on active mobilisation of the left hip and could not weight bear on the left leg. Pelvic X-rays and ultrasound of the left hip were normal. The blood results showed raised inflammatory markers and normal white cell count. The blood cultures were positive for Staphylococcus aureus. On day 2, a left hip MRI was performed as well as CT-guided drainage. Diagnosis of left sacroiliac septic arthritis was made. After an initial lack of improvement under intravenous ceftriaxone, a drain was inserted and left in situ for 8 days with double intravenous antibiotic therapy instituted. The patient made a full recovery.

PubMed Disclaimer

Figures

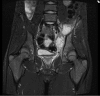
Figure 1
Figure 1
T2-weighted MRI of the pelvis in coronal view indicating effusion of the left sacroiliac joint associated with surrounding oedema suggestive of left sacroiliitis.
Figure 2
Figure 2
T2-weighted MRI of the pelvis in transversal view indicating effusion of the left sacroiliac joint associated with surrounding oedema suggestive of left sacroiliitis.

References

    1. Scotti N, Russo G, Carlomagno R et al. . Septic sacroiliitis in children-a diagnostic challenge. Pediatr Rheumatol Online J 2011;9(Suppl 1):P233 10.1186/1546-0096-9-S1-P233 - DOI
    1. Ghedira Besbes L, Haddad S, Abid A et al. . Pyogenic sacroiliitis in children: two case reports. Case Rep Med 2012;2012:415323 10.1155/2012/415323 - DOI - PMC - PubMed
    1. Molinos Quintana A, Morillo Gutierrez B, Camacho Lovillo MS et al. . Pyogenic sacroiliitis in children-a diagnostic challenge. Clin Rheumatol 2011;30:107–13. 10.1007/s10067-010-1549-5 - DOI - PubMed
    1. Spadaro A, Iagnocco A, Baccano G et al. . Sonographic-detected joint effusion compared with physical examination in the assessment of sacroiliac joints in spondyloarthritis. Ann Rheum Dis 2009;68:1559–63. 10.1136/ard.2008.093351 - DOI - PubMed

Publication types

MeSH terms

Supplementary concepts