Skip to main page content
U.S. flag

An official website of the United States government

Dot gov

The .gov means it’s official.
Federal government websites often end in .gov or .mil. Before sharing sensitive information, make sure you’re on a federal government site.

Https

The site is secure.
The https:// ensures that you are connecting to the official website and that any information you provide is encrypted and transmitted securely.

Access keys NCBI Homepage MyNCBI Homepage Main Content Main Navigation
. 2015 Jul-Aug;60(4):403-5.
doi: 10.4103/0019-5154.160497.

Reactive Eccrine Syringofibroadenomatosis Presenting as Bilateral Plantar Hyperkeratosis

Affiliations

Reactive Eccrine Syringofibroadenomatosis Presenting as Bilateral Plantar Hyperkeratosis

Nidhi Singh et al. Indian J Dermatol. 2015 Jul-Aug.

Abstract

Eccrine syringofibroadenoma (ESFA) is a rare cutaneous tumor with eccrine differentiation with varied clinical manifestations. We report a case of reactive eccrine syringofibroadenomatosis associated with chronic bilateral plantar ulcers in a patient with diabetes mellitus presenting as plantar hyperkeratosis and verrucous growth at margins.

Keywords: Eccrine; diabetes mellitus; syringofibroadenomatosis.

PubMed Disclaimer

Conflict of interest statement

Conflict of Interest: Nil.

Figures

Figure 1
Figure 1
Bilateral plantar ulcers with surrounding skin hyperkeratosis and a pink verrucous growth at medial border of bilateral sole
Figure 2
Figure 2
Pink verrucous growth over medial border of right sole
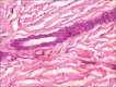
Figure 3
Figure 3
Photomicrograph showing anastomosing strands of epithelial cells embedded in a fibrovascular stroma (H and E, ×100)
Figure 4
Figure 4
Higher magnification photomicrograph showing thin epithelial strands with ductal structures (H and E, ×400)
Figure 5
Figure 5
Photomicrograph showing staining of eccrine ducts by S100 (S100, ×400)

References

    1. Starink TM. Eccrine syringofibroadenoma: Multiple lesions representing a new cutaneous marker of the Schöpf syndrome, and solitary nonhereditary tumors. J Am Acad Dermatol. 1997;36:569–76. - PubMed
    1. Mascaro JM. Considerations on fibro-epithelial tumors. Exocrine syringofibradenoma. Ann Dermatol Syphiligr (Paris) 1963;90:143–53. - PubMed
    1. French LE. Reactive eccrine syringofibroadenoma: An emerging subtype. Dermatology. 1997;195:309–10. - PubMed
    1. Cho E, Lee JD, Cho SH. A case of reactive eccrine syringofibroadenoma. Ann Dermatol. 2011;23:70–2. - PMC - PubMed
    1. Tey HL. Characterizing the nature of eccrine syringofibroadenoma: Illustration with a case showing spontaneous involution. Clin Exp Dermatol. 2009;34:e66–8. - PubMed

LinkOut - more resources