Amyloidoma secondary to insulin injection: Cytologic diagnosis and pitfalls
- PMID: 26288650
- PMCID: PMC4527044
- DOI: 10.4103/1742-6413.161602
Amyloidoma secondary to insulin injection: Cytologic diagnosis and pitfalls
Abstract
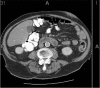
Amyloidomas are rare tumors composed of deposits of amyloid protein not associated with systemic amyloidosis. They can present as an initial manifestation of a systemic disease process or can be a completely localized phenomenon. We present a case of amyloidoma associated with insulin injection site found incidentally in an 80-year-old male with multiple co-morbidities who presented with diverticulitis associated bleeding. A subcutaneous abdominal mass was found on physical examination. Imaging revealed a 5 cm × 1.6 cm homogenous subcutaneous lesion. A fine-needle aspiration (FNA) and core biopsy were performed under ultrasound guidance to reveal amorphous material proven to be amyloidosis at insulin injection sites (AIns) type amyloid. The patient had no treatment for this lesion and has had his care triaged to his more serious health problems. This is the first case of AIns type amyloidoma associated with insulin injection site reported in cytology literature. We highlight the cytologic findings and diagnostic pitfalls. As the incidence of diabetes is increasing, cytopathologists may encounter this lesion more often on FNA.
Keywords: Amyloid; amyloidoma; amyloidosis at insulin injection sites; diabetes; fine-needle aspiration; insulin injection site.
Figures
References
-
- Sayed RH, Hawkins PN, Lachmann HJ. Emerging treatments for amyloidosis. Kidney Int. 2015;87:516–26. - PubMed
-
- Elkins CT, Scharschmidt TJ, Wakely PE., Jr Amyloidomas of soft parts: Diagnosis by fine-needle aspiration. Diagn Cytopathol. 2012;40(Suppl 2):E126–30. - PubMed
-
- Factor RE, Layfield LJ, Grossmann AH, Crim JR, Price SL, Randall RL. Fine-needle aspiration diagnosis of an intraosseous amyloidoma. Diagn Cytopathol. 2012;40(Suppl 2):E114–7. - PubMed
-
- Bhagwandeen BS, Taylor S. Primary localized amyloidosis of the bladder with a monoclonal plasma cell infiltrate. Pathology. 1988;20:67–9. - PubMed
Publication types
LinkOut - more resources
Full Text Sources
Research Materials
