Establishment of a hepatic cirrhosis and portal hypertension model by hepatic arterial perfusion with 80% alcohol
- PMID: 26327762
- PMCID: PMC4548115
- DOI: 10.3748/wjg.v21.i32.9544
Establishment of a hepatic cirrhosis and portal hypertension model by hepatic arterial perfusion with 80% alcohol
Abstract
Aim: To determine the feasibility and safety of establishing a porcine hepatic cirrhosis and portal hypertension model by hepatic arterial perfusion with 80% alcohol.
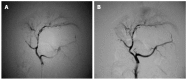
Methods: Twenty-one healthy Guizhou miniature pigs were randomly divided into three experimental groups and three control groups. The pigs in the three experimental groups were subjected to hepatic arterial perfusion with 7, 12 and 17 mL of 80% alcohol, respectively, while those in the three control groups underwent hepatic arterial perfusion with 7, 12 and 17 mL of saline, respectively. Hepatic arteriography and direct portal phlebography were performed on all animals before and after perfusion, and the portal venous pressure and diameter were measured before perfusion, immediately after perfusion, and at 2, 4 and 6 wk after perfusion. The following procedures were performed at different time points: routine blood sampling, blood biochemistry, blood coagulation and blood ammonia tests before surgery, and at 2, 4 and 6 wk after surgery; hepatic biopsy before surgery, within 6 h after surgery, and at 1, 2, 3, 4 and 5 wk after surgery; abdominal enhanced computed tomography examination before surgery and at 6 wk after surgery; autopsy and multi-point sampling of various liver lobes for histological examination at 6 wk after surgery.
Results: In experimental group 1, different degrees of hepatic fibrosis were observed, and one pig developed hepatic cirrhosis. In experimental group 2, there were cases of hepatic cirrhosis, different degrees of increased portal venous pressure, and intrahepatic portal venous bypass, but neither extrahepatic portal-systemic bypass circulation nor death occurred. In experimental group 3, two animals died and three animals developed hepatic cirrhosis, and different degrees of increased portal venous pressure and intrahepatic portal venous bypass were also observed, but there was no extrahepatic portal-systemic bypass circulation.
Conclusion: It is feasible to establish an animal model of hepatic cirrhosis and portal hypertension by hepatic arterial perfusion with 80% alcohol, however, the safety of this model depends on a suitable perfusion dose.
Keywords: Alcohol; Animal model; Hepatic arterial perfusion; Hepatic cirrhosis; Portal hypertension.
Figures
References
-
- Starr SP, Raines D. Cirrhosis: diagnosis, management, and prevention. Am Fam Physician. 2011;84:1353–1359. - PubMed
-
- Louvet A, Mathurin P. Alcoholic liver disease: mechanisms of injury and targeted treatment. Nat Rev Gastroenterol Hepatol. 2015;12:231–242. - PubMed
-
- Liu Y, Meyer C, Xu C, Weng H, Hellerbrand C, ten Dijke P, Dooley S. Animal models of chronic liver diseases. Am J Physiol Gastrointest Liver Physiol. 2013;304:G449–G468. - PubMed
-
- Sakamoto M, Nakamura T, Torimura T, Iwamoto H, Masuda H, Koga H, Abe M, Hashimoto O, Ueno T, Sata M. Transplantation of endothelial progenitor cells ameliorates vascular dysfunction and portal hypertension in carbon tetrachloride-induced rat liver cirrhotic model. J Gastroenterol Hepatol. 2013;28:168–178. - PubMed
MeSH terms
Substances
LinkOut - more resources
Full Text Sources
Other Literature Sources
