Red eyes presenting with a fistulous lesion in the left lower extremity: a case report
- PMID: 26361972
- PMCID: PMC4567779
- DOI: 10.1186/s13256-015-0661-1
Red eyes presenting with a fistulous lesion in the left lower extremity: a case report
Abstract
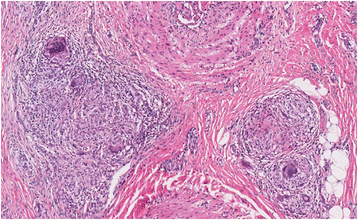
Introduction: Very few cases of scar sarcoidosis affecting the eyes and bone together have been reported in the last few years.
Case presentation: We report a case of a 49-year-old Spanish man with recurrent bilateral granulomatous uveitis and a fistulous nodular lesion in the left pre-tibial region (scar granuloma) on the site of an 8-year-old scar. He presented with bilateral hilar adenopathies and elevation of inflammatory markers and angiotensin-converting enzyme. A histologically confirmed sarcoid of the tibia with a radiologic appearance unusual for long tubular bone involvement was observed. He also had bilateral ophthalmologic involvement.
Conclusions: Sarcoidosis is a disease of unknown cause histologically characterized by non-caseating granulomas that can involve any organ or tissue. Osseous sarcoidosis is a relatively rare presentation. However, on the basis of cases reported in the literature, sarcoid lesions on bones are generally asymptomatic. Biologic agents are considered an alternative therapy for sarcoidosis resistant to conventional treatment.
Figures


References
-
- Selim A, Ehrsam E, Atassi MB, Khachemoune A. Scar sarcoidosis: a case report and brief review. Cutis. 2006;78(6):418–22. - PubMed
Publication types
MeSH terms
Substances
LinkOut - more resources
Full Text Sources
Other Literature Sources
Medical