Determination of the mental foramen position in dental radiographs in 18-30 year olds
- PMID: 26371076
- PMCID: PMC5083892
- DOI: 10.1259/dmfr.20150195
Determination of the mental foramen position in dental radiographs in 18-30 year olds
Abstract
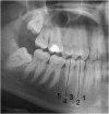
Objectives: To determine the radiographic position and reliability of assessing mental foramen (MF) position in relation to premolar crowns in an 18- to 30-year-old UK-based population.
Methods: Following ethical approval and a power calculation, the position of the MF was recorded in relation to premolar crowns and apices in 100 dental panoramic tomographs. Positions were assessed by three senior clinicians independently, then by consensus. Data were analysed using descriptive statistics, χ(2) and Fleiss' and Cohen's kappa.
Results: Reliability data showed only fair to moderate agreement on independent scoring. Substantial to almost perfect agreement was achieved by consensus, demonstrating the most common position for the MF to be between the first and second premolar teeth when using both premolar crowns (51%) and apices (76%) as reference points. There was a significant difference in the position of the foramen between the left and right sides (p < 0.05), with only 62% of cases showing symmetry.
Conclusions: The most common position for the MF is between the first and second premolar teeth; however, anatomical variation is seen. Use of pre-operative radiographs to relate the position of the MF to premolar crowns may not be reliable.
Keywords: anatomy; dental radiography; reproducibility of results.
Figures
References
Publication types
MeSH terms
LinkOut - more resources
Full Text Sources
Other Literature Sources
