Coumadin ridge: An incidental finding of a left atrial pseudotumor on transthoracic echocardiography
- PMID: 26380830
- PMCID: PMC4568532
- DOI: 10.12998/wjcc.v3.i9.831
Coumadin ridge: An incidental finding of a left atrial pseudotumor on transthoracic echocardiography
Abstract
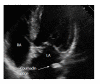
Coumadin ridge is a normal anatomic variant that is occasionally found in the left atrium. It can present as a linear or nodular mass which can undulate with cardiac motion and if particularly prominent, can easily be mistaken for a tumor or thrombus. Careful evaluation and consideration of the common variants discussed in this review can help limit misdiagnosis, as well as unnecessary workup and treatment. We present a case of coumadin ridge that was found on a patient using two-dimensional transthoracic echocardiography.
Keywords: Coumadin ridge; Left atrial pseudotumor; Pseudotumor; Warfarin ridge.
Figures



References
-
- Oxom DC. Intraoperative echocardiography. 1st ed. Philadelphia: Saunders; 2012. pp. 241–269.
-
- McKay T, Thomas L. ‘Coumadin ridge’ in the left atrium demonstrated on three dimensional transthoracic echocardiography. Eur J Echocardiogr. 2008;9:298–300. - PubMed
-
- Ho SY, McCarthy KP, Faletra FF. Anatomy of the left atrium for interventional echocardiography. Eur J Echocardiogr. 2011;12:i11–i15. - PubMed
-
- George A, Parameswaran A, Nekkanti R, Lurito K, Movahed A. Normal anatomic variants on transthoracic echocardiogram. Echocardiography. 2009;26:1109–1117. - PubMed
Publication types
LinkOut - more resources
Full Text Sources
Other Literature Sources