Skip to main page content
U.S. flag

An official website of the United States government

Dot gov

The .gov means it’s official.
Federal government websites often end in .gov or .mil. Before sharing sensitive information, make sure you’re on a federal government site.

Https

The site is secure.
The https:// ensures that you are connecting to the official website and that any information you provide is encrypted and transmitted securely.

Access keys NCBI Homepage MyNCBI Homepage Main Content Main Navigation
Case Reports
. 2015 Sep 22:2015:bcr2015210030.
doi: 10.1136/bcr-2015-210030.

Cervical deciduosis imitating dysplasia

Affiliations
Case Reports

Cervical deciduosis imitating dysplasia

Diederik Anthony van Diepen et al. BMJ Case Rep. .

Abstract

Ectopic cervical deciduosis is generally an accidental finding during pregnancy, and usually presents without any symptoms or need for therapeutic intervention. However, it can sometimes imitate dysplasia or carcinoma. We report a case of a 34-year-old G2P0, with a history of cervical dysplasia, presenting at 11 weeks of gestation, with vaginal blood loss. During examination, lesions mimicking dysplasia were found on the cervix. Histological examination reported cervical deciduosis. Deciduosis is a benign change during pregnancy and will resolve spontaneously. With the increasing use of cytology and colposcopy, the reported incidence is growing. When it is hard to differentiate between dysplasia and deciduosis, histological confirmation should be considered.

PubMed Disclaimer

Figures

Figure 1
Figure 1
Progression of lesions in (A), (B) and (C), spontaneously resolving in (D) at, respectively, 12, 21 and 25 weeks of gestation, and at 8 weeks after labour.
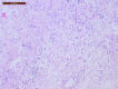
Figure 2
Figure 2
Pathology.

References

    1. Lapan B. Deciduosis of the cervix and vagina simulating carcinoma. Am J Obstet Gynecol l949;58:743–7. - PubMed
    1. Israel SL, Rubenstone A, Meranze DR: The ovary at term. I. Decidua-like reaction and surface cell proliferation. Obstet Gynecol 1954;3:399–407. - PubMed
    1. Hofbauer J. Decidual formation on the peritoneal surface of the gravid uterus. Am J Obstet Gynecol 1929;17:603–12.
    1. Richter MA, Choudhry A, Barton JJ et al. . Bleeding ectopic decidua as a cause of intraabdominal haemorrhage. A case report. J Reprod Med 1983;28:430–2. - PubMed
    1. Kim YD, Min KO, Moon SW. Thoracoscopic treatment of recurrent pneumothorax in a pregnant woman: a case of ectopic deciduosis. Thorac Cardiovasc Surg 2010;58:429–30. 10.1055/s-0029-1240848 - DOI - PubMed

Publication types