Shunt tube calcification as a late complication of ventriculoperitoneal shunting
- PMID: 26396620
- PMCID: PMC4553745
- DOI: 10.4103/1793-5482.161321
Shunt tube calcification as a late complication of ventriculoperitoneal shunting
Abstract
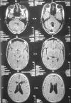
Shunt calcification is a rare complication of ventriculoperitoneal shunting that occurs years later after the initial operation this condition is rarely reported in literature. Two patients with shunt calcifications were described. The first patient was 17-year-old lady who had congenital hydrocephalus and shunted in the early infancy, she was presented recently complaining of itching of the skin along the shunt track and limitation of neck movement. The patient was then operated with removal of the old peritoneal catheter and replacing it with a new one. The second patient was 17-year-old boy originally was a case of posterior fossa pilocytic astrocytoma associated with obstructive hydrocephalus, he was operated with both shunting for the hydrocephalus and tumor removal, 6 years later he presented with shunt exposure. Calcification of the shunt tube was discovered intraoperatively upon shunt removal. Shunt calcification has been observed mainly in barium-impregnated catheters. Introducing plain silicone-coated shunt tubing may reduce the rate of this condition. The usual complaints of the patients suffering from this condition are pain in the neck and chest wall along the shunt pathway and limitation of the neck movement due to shunt tube tethering, but features of shunt dysfunction and skin irritation above the shunt may be present. In this review, plain X-ray and operative findings showed that the most extensive calcification is present in the neck, where the catheters were subject to heavy mechanical stress. Disturbed calcium and phosphate metabolisms may be involved in this condition. Shunt calcification is a rare condition that occurs due to material aging presenting with features of shunt tethering, dysfunction or overlying skin irritation. Plain X-ray is needed to detect calcification while shunt removal, replacement or endoscopic third ventriculostomy may carry solution for this condition.
Keywords: Barium-impregnated catheters; calcification; shunt complications.
Conflict of interest statement
Figures
References
-
- Shimotake K, Kondo A, Aoyama I, Nin K, Tashiro Y, Nishioka T. Calcification of a ventriculoperitoneal shunt tube. Case report. Surg Neurol. 1988;30:156–8. - PubMed
-
- Boch AL, Hermelin E, Sainte-Rose C, Sgouros S. Mechanical dysfunction of ventriculoperitoneal shunts caused by calcification of the silicone rubber catheter. J Neurosurg. 1998;88:975–82. - PubMed
-
- Cakir E, Kuzeyli K, Usul H, Peksoylu B, Karaarslan G, Yildiz K. Shunt dysfunction due to calcification of a ventriculo-peritoneal shunt: A case report. J Clin Neurosci. 2004;11:210–1. - PubMed
-
- Sakai S, Akai T, Iida T, Iizuka H. Calcification on the ventricle wall associated with a shunt tube – case report. Neurol Med Chir (Tokyo) 2004;44:674–6. - PubMed
Publication types
LinkOut - more resources
Full Text Sources
Other Literature Sources
