Standardized quantitative measurements of wrist cartilage in healthy humans using 3T magnetic resonance imaging
- PMID: 26396941
- PMCID: PMC4573509
- DOI: 10.5312/wjo.v6.i8.641
Standardized quantitative measurements of wrist cartilage in healthy humans using 3T magnetic resonance imaging
Abstract
Aim: To quantify the wrist cartilage cross-sectional area in humans from a 3D magnetic resonance imaging (MRI) dataset and to assess the corresponding reproducibility.
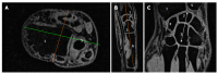
Methods: The study was conducted in 14 healthy volunteers (6 females and 8 males) between 30 and 58 years old and devoid of articular pain. Subjects were asked to lie down in the supine position with the right hand positioned above the pelvic region on top of a home-built rigid platform attached to the scanner bed. The wrist was wrapped with a flexible surface coil. MRI investigations were performed at 3T (Verio-Siemens) using volume interpolated breath hold examination (VIBE) and dual echo steady state (DESS) MRI sequences. Cartilage cross sectional area (CSA) was measured on a slice of interest selected from a 3D dataset of the entire carpus and metacarpal-phalangeal areas on the basis of anatomical criteria using conventional image processing radiology software. Cartilage cross-sectional areas between opposite bones in the carpal region were manually selected and quantified using a thresholding method.
Results: Cartilage CSA measurements performed on a selected predefined slice were 292.4 ± 39 mm(2) using the VIBE sequence and slightly lower, 270.4 ± 50.6 mm(2), with the DESS sequence. The inter (14.1%) and intra (2.4%) subject variability was similar for both MRI methods. The coefficients of variation computed for the repeated measurements were also comparable for the VIBE (2.4%) and the DESS (4.8%) sequences. The carpus length averaged over the group was 37.5 ± 2.8 mm with a 7.45% between-subjects coefficient of variation. Of note, wrist cartilage CSA measured with either the VIBE or the DESS sequences was linearly related to the carpal bone length. The variability between subjects was significantly reduced to 8.4% when the CSA was normalized with respect to the carpal bone length.
Conclusion: The ratio between wrist cartilage CSA and carpal bone length is a highly reproducible standardized measurement which normalizes the natural diversity between individuals.
Keywords: Cartilage; Magnetic resonance imaging; Quantification; Wrist.
Figures



References
-
- McQueen F, Clarke A, McHaffie A, Reeves Q, Williams M, Robinson E, Dong J, Chand A, Mulders D, Dalbeth N. Assessment of cartilage loss at the wrist in rheumatoid arthritis using a new MRI scoring system. Ann Rheum Dis. 2010;69:1971–1975. - PubMed
-
- Burgkart R, Glaser C, Hyhlik-Dürr A, Englmeier KH, Reiser M, Eckstein F. Magnetic resonance imaging-based assessment of cartilage loss in severe osteoarthritis: accuracy, precision, and diagnostic value. Arthritis Rheum. 2001;44:2072–2077. - PubMed
-
- Gandy SJ, Dieppe PA, Keen MC, Maciewicz RA, Watt I, Waterton JC. No loss of cartilage volume over three years in patients with knee osteoarthritis as assessed by magnetic resonance imaging. Osteoarthritis Cartilage. 2002;10:929–937. - PubMed
-
- Eckstein F, Charles HC, Buck RJ, Kraus VB, Remmers AE, Hudelmaier M, Wirth W, Evelhoch JL. Accuracy and precision of quantitative assessment of cartilage morphology by magnetic resonance imaging at 3.0T. Arthritis Rheum. 2005;52:3132–3136. - PubMed
-
- Recht MP, Resnick D. Magnetic resonance imaging of articular cartilage: an overview. Top Magn Reson Imaging. 1998;9:328–336. - PubMed
LinkOut - more resources
Full Text Sources
Other Literature Sources