Spinal Deformity Associated with Chiari Malformation
- PMID: 26408068
- PMCID: PMC4584090
- DOI: 10.1016/j.nec.2015.06.005
Spinal Deformity Associated with Chiari Malformation
Abstract
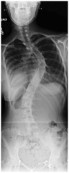
Despite the frequency of Chiari-associated spinal deformities, this disease process remains poorly understood. Syringomyelia is often present; however, this is not necessary and scoliosis has been described in the absence of a syrinx. Decompression of the hindbrain is often recommended. In young patients (<10 years old) and/or those with small coronal Cobb measurements (<40°), decompression of the hindbrain may lead to resolution of the spinal deformity. Spinal fusion is reserved for those curves that progress to deformities greater than 50°. Further research is needed to understand the underlying pathophysiology to improve prognostication and treatment of this patient population.
Keywords: Chiari malformation; Early onset; Scoliosis; Syringomyelia; Syrinx.
Copyright © 2015 Elsevier Inc. All rights reserved.
Figures
References
-
- Huebert HT, MacKinnon WB. Syringomyelia and scoliosis. The Journal of bone and joint surgery British volume. 1969;51:338–43. - PubMed
-
- Isu T, Iwasaki Y, Akino M, Abe H. Hydrosyringomyelia associated with a Chiari I malformation in children and adolescents. Neurosurgery. 1990;26:591–6. discussion 6-7. - PubMed
-
- Brockmeyer DL. Editorial. Chiari malformation Type I and scoliosis: the complexity of curves. J Neurosurg Pediatr. 2011;7:22–3. discussion 3-4. - PubMed
-
- Eule JM, Erickson Ma, O'Brien MF, Handler M. Chiari I malformation associated with syringomyelia and scoliosis: a twenty-year review of surgical and nonsurgical treatment in a pediatric population. Spine. 2002;27:1451–5. - PubMed
-
- Farley Fa, Puryear A, Hall JM, Muraszko K. Curve progression in scoliosis associated with Chiari I malformation following suboccipital decompression. Journal of spinal disorders & techniques. 2002;15:410–4. - PubMed
Publication types
MeSH terms
Grants and funding
LinkOut - more resources
Full Text Sources
Other Literature Sources
Medical
