Collagenofibrotic glomerulopathy
- PMID: 26413279
- PMCID: PMC4581380
- DOI: 10.1093/ckj/sfv061
Collagenofibrotic glomerulopathy
Abstract
Background: Collagenofibrotic glomerulopathy is a rare renal disease of unknown etiology that is secondary to deposition of type III collagen within the glomerulus. Only rare case series exist in the literature.
Methods: Renal biopsies diagnosed with collagenofibrotic glomerulopathy were prospectively collected at the Center for Renal and Urological Pathology (AAK) (Chennai, Tamil Nadu, India) from 2012 to 2015. Eight patients were entered into the study. The average age was 38 years with five males and three females.
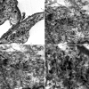
Results: All patients presented with nephrotic syndrome, and five displayed hypertension. The average serum creatinine was 146.5 µmol/L (88.4-282.9 µmol/L range). All serologic testing was negative, and complement levels were normal. No clinical evidence of nail-patella syndrome was seen. All cases showed diffuse mesangial expansion and double contour formation by peroidic acid-Schiff (PAS)-negative material. All immunofluorescence studies were negative. By electron microscopy all cases showed electron dense, banded to curvilinear collagen bundles within the mesangium and subendothelial aspect of the peripheral capillary walls. All patients appear to have sporadic disease occurrence with no family history of renal disease. No hemolytic uremic syndrome, liver fibrosis, lymphoma or co-occurrence of other renal disease were seen.
Conclusion: Collagenofibrotic glomerulopathy is a rare disease that appears to occur more frequently in adult Indian populations in a sporadic, non-familial manner. To our knowledge, this is the largest cases series of collagenofibrotic glomerulopathy in an adult population.
Keywords: collagenofibrotic glomerulopathy; primary glomerular fibrosis; type III collagen glomerulopathy.
Figures
References
-
- Cohen AH. Collagen type III glomerulopathies. Adv Chronic Kidney Dis 2012; 19: 101–106 - PubMed
-
- Arakawa M. Idiopathic mesangio-degenerative glomerulopathy. Jpn J Nephrol 1979; 21: 914–915
-
- Churg J, Bernstein J, Glassock RJ. Classification and atlas of glomerular diseases. 2nd edn Igaku-Shoin, New York, NY, 1995
-
- Ikeda K, Yokoyama H, Tomosugi N, et al. Primary glomerular fibrosis: a new nephropathy caused by diffuse intra-glomerular increase in atypical type III collagen fibers. Clin Nephrol 1990; 33: 155–159 - PubMed
-
- Imbasciati E, Gherardi G, Morozumi K, et al. Collagen type III glomerulopathy: a new idiopathic glomerular disease. Am J Nephrol 1991; 11: 422–429 - PubMed
LinkOut - more resources
Full Text Sources
Other Literature Sources
