Cardiac arrest following butane inhalation
- PMID: 26417144
- PMCID: PMC4563975
- DOI: 10.4103/0259-1162.156366
Cardiac arrest following butane inhalation
Abstract
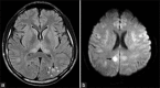
Butane is a commonly misused volatile agent, and a cause of intoxication. We present a case, who had a syncope and persistent ventricular fibrillation during the course of resuscitation. We discussed the management of this case in the intensive care unit and the accompanying difficulties in the light of the current literature.
Keywords: Butane; cardiac arrest; hypoxic encephalopathy; industrial gas; intoxication.
Conflict of interest statement
Figures


References
-
- Mowry JB, Spyker DA, Cantilena LR, Jr, Bailey JE, Ford M. 2012 Annual Report of the American Association of Poison Control Centers’ National Poison Data System (NPDS): 30th Annual Report. Clin Toxicol (Phila) 2013;51:949–1229. - PubMed
-
- Ago M, Ago K, Ogata M. A fatal case of n-butane poisoning after inhaling anti-perspiration aerosol deodorant. Leg Med (Tokyo) 2002;4:113–8. - PubMed
-
- Sugie H, Sasaki C, Hashimoto C, Takeshita H, Nagai T, Nakamura S, et al. Three cases of sudden death due to butane or propane gas inhalation: Analysis of tissues for gas components. Forensic Sci Int. 2004;143:211–4. - PubMed
-
- Weber LW, Boll M, Stampfl A. Hepatotoxicity and mechanism of action of haloalkanes: Carbon tetrachloride as a toxicological model. Crit Rev Toxicol. 2003;33:105–36. - PubMed
Publication types
LinkOut - more resources
Full Text Sources
Other Literature Sources