Didelphys Uterus: A Case Report and Review of the Literature
- PMID: 26435865
- PMCID: PMC4576003
- DOI: 10.1155/2015/865821
Didelphys Uterus: A Case Report and Review of the Literature
Abstract
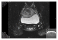
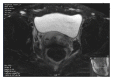
Background. Mullerian duct anomalies (MDAs) are congenital defects of the female genital system that arise from abnormal embryological development of the Mullerian ducts. A didelphys uterus, also known as a "double uterus," is one of the least common amongst MDAs. This report discusses a case of didelphys uterus that successfully conceived, carried her pregnancy to term, and delivered vaginally without any significant complications. Case. Patient is a 29-year-old G2P0010 from Bangladesh, initially came a year prior in her first pregnancy, with spontaneous abortion (SAB). Pelvic Sonogram at that time showed a diagnosis of bicornuate versus didelphys uterus. There were no renal anomalies on subsequent abdominal CT scan. Patient presented with the second pregnancy and had uncomplicated prenatal care and did not have signs of preterm labor; fetus showed appropriate growth and the pregnancy was carried in the left uterus. Patient presented at 38 4/7 wks with Premature Rupture of Membrane and underwent induction of labor with Cytotec. Antibiotics were started for chorioamnionitis. Patient had a vaginal delivery with left mediolateral episiotomy and complete tear of vaginal septum. Third stage of labor was complicated with retained placenta, which was removed manually in the operating room with total EBL of 600 cc.
Figures
References
LinkOut - more resources
Full Text Sources
Other Literature Sources
