Simultaneous Triple Primary Head and Neck Malignancies: A Rare Case Report
- PMID: 26477035
- PMCID: PMC4838955
- DOI: 10.1007/s12105-015-0664-7
Simultaneous Triple Primary Head and Neck Malignancies: A Rare Case Report
Abstract
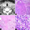
The occurrences of multiple primary malignant tumours in the head and neck region are reported as simultaneous, synchronous, or metachronous based on their chronology of presentation. Lymphoid malignancies presenting in association with squamous cell carcinoma in the head and neck region are extremely rare. We report a case of a 71 year old male patient with simultaneous triple primary malignancies of different histologic origin, involving larynx (squamous cell carcinoma), thyroid (papillary thyroid carcinoma) and lymph nodes (non-Hodgkin's lymphoma).
Keywords: Head and neck malignancies; Simultaneous; Triple primary malignancies.
Figures
References
-
- Koutsopoulos AV, Dambaki KI, Datseris G, Giannikaki E, Froudarakis M, Stathopoulos E. A novel combination of multiple primary carcinomas: urinary bladder transitional cell carcinoma, prostate adenocarcinoma and small cell lung carcinoma- report of a case and review of the literature. World J Surg Oncol. 2005 - PMC - PubMed
Publication types
MeSH terms
Substances
LinkOut - more resources
Full Text Sources
Other Literature Sources
Medical
