Pulmonary agenesis and respiratory failure in childhood
- PMID: 26484321
- PMCID: PMC4608165
- DOI: 10.4322/acr.2014.046
Pulmonary agenesis and respiratory failure in childhood
Abstract
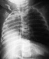
Pulmonary agenesis (PA) is a rare congenital anomaly, which may be unilateral or bilateral. Unilateral PA may be associated with nonspecific respiratory symptoms. We report the case of 5-month-old infant who presented a normal development until the age of 4 months when a respiratory infection caused an acute respiratory distress syndrome with a fatal outcome. The autopsy findings depicted the right lung agenesis without any other concomitant malformation. Although respiratory symptoms represent frequent complaints in pediatrics, the aim of this study is not only to draw attention to the unilateral pulmonary agenesis as a possible underlying malformation in children who present recurrent and severe respiratory symptoms, but also to report a case diagnosed at autopsy.
Keywords: Autopsy; Lung agenesis; Respiratory Insufficiency.
Conflict of interest statement
Conflict of interest: None
Figures




References
-
- Sharma S, Kumar S, Yaduvanshi D, Chauhan D. Isolated unilateral pulmonary agenesis. Indian Pediatr. 2005;42(2):170-2.. - PubMed
-
- De Pozze S, Brescia MA, Amermon EE, Sharma KK. Agenesis of the Left Lung. Arch Pediatr. 1960;77:485-90.
Publication types
LinkOut - more resources
Full Text Sources
Other Literature Sources