Hepatic tuberculosis: a multimodality imaging review
- PMID: 26499189
- PMCID: PMC4656243
- DOI: 10.1007/s13244-015-0440-y
Hepatic tuberculosis: a multimodality imaging review
Abstract
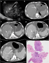
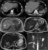
Objectives: We aim to illustrate the multimodal imaging spectrum of hepatic involvement in tuberculosis (TB). Whilst disseminated tuberculosis on imaging typically manifests as multiple small nodular lesions scattered in the liver parenchyma, isolated hepatic tuberculosis remains a rare and intriguing entity.
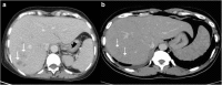
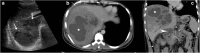
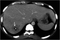
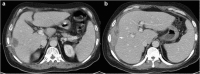
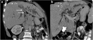
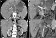
Methods: Indubitably, imaging is the mainstay for detection of tubercular hepatic lesions which display a broad spectrum of imaging manifestations on different modalities. While sonography and computed tomography (CT) findings have been described in some detail, there is a paucity of literature on magnetic resonance imaging (MRI) features. Due to a significant overlap with other commoner and similar appearing hepatic lesions, hepatic tuberculosis is often either misdiagnosed or labelled as indeterminate lesions. This article is a compendium of cases highlighting the spectrum of imaging patterns that can be encountered in patients with isolated primary hepatic tuberculosis as well as disseminated (secondary) disease. Rare patterns of primary disease such as tubercular cholangitis, hypervascular liver masses, and those with vascular complications are also illustrated and discussed.
Conclusions: Imaging plays a valuable role in the detection of tubercular hepatic lesions. Also, imaging can be helpful in their characterisation and for assessing associated complications.
Teaching points: • Hepatic TB has myriad imaging manifestations and is often confounded with neoplastic lesions. • Imaging patterns include miliary TB, macronodular TB, serohepatic TB and tubercular cholangitis. • Concurrent splenic, nodal or pulmonary involvements are helpful pointers towards the diagnosis. • Miliary calcifications along the bile ducts are characteristic of tubercular cholangitis. • Histological/microbiological confirmation is often necessary to confirm the diagnosis.
Keywords: CT; Hepatic tuberculosis; Miliary; Nodular; Tubercular cholangitis, MRI.
Figures





















References
-
- Kakkar, Koteshwara P, Polnaya AM, Rajagopal K et al (2011) Imaging patterns of hepuberculosis on MDCT: Can we predict the diagnosis? Available on the Electronic Poster Online System (EPOS) of the European Society of Radiology. doi: 10.1594/ecr2011/C-0873
-
- World Health Organization (2011) WHO Report: Global tuberculosis control? WHO, Geneva
LinkOut - more resources
Full Text Sources
Other Literature Sources
Molecular Biology Databases