Skip to main page content
U.S. flag

An official website of the United States government

Dot gov

The .gov means it’s official.
Federal government websites often end in .gov or .mil. Before sharing sensitive information, make sure you’re on a federal government site.

Https

The site is secure.
The https:// ensures that you are connecting to the official website and that any information you provide is encrypted and transmitted securely.

Access keys NCBI Homepage MyNCBI Homepage Main Content Main Navigation
. 2015 Oct 15;2(6):e163.
doi: 10.1212/NXI.0000000000000163. eCollection 2015 Dec.

Antibodies to MOG in adults with inflammatory demyelinating disease of the CNS

Affiliations

Antibodies to MOG in adults with inflammatory demyelinating disease of the CNS

Sung-Min Kim et al. Neurol Neuroimmunol Neuroinflamm. .

Abstract

Objective: To evaluate the clinical relevance of myelin oligodendrocyte glycoprotein antibody (MOG-Ab) in a cohort of adults with inflammatory demyelinating disease (IDD) of the CNS.

Methods: Live cell-based assays for MOG-Ab (IgG1 subset) and antibody to aquaporin-4 (AQP4-Ab) were performed in a cohort of 270 adult patients with IDD and 72 controls. Patients were first grouped by positive antibody result as MOG-Ab or AQP4-Ab, and the remainder were grouped by published diagnostic criteria.

Results: Seventeen patients with IDD (6.3%) had MOG-Abs and 49 patients (18.1%) had AQP4-Abs; none had both antibodies. The MOG-Ab patients predominantly manifested with isolated symptoms of optic neuritis (83%). One-third of these patients experienced relapses, which involved only the optic nerve, and all relapsed within 1 year of disease onset. At onset, MRI in the MOG-Ab group uniquely demonstrated perineural enhancement, extending to the soft tissues around the optic nerves (33%). Although about 30% of MOG-Ab patients had brain MRI lesions, they had fewer periventricular lesions than the 26 patients with relapsing-remitting multiple sclerosis (MS); none of these lesions were ovoid or perpendicular to the ventricle. Moreover, MOG-Ab patients did not meet the diagnostic criteria for definite neuromyelitis optica (NMO) and had less spinal cord involvement than the AQP4-Ab group. Four patients (23.5%) had poor visual outcomes (<0.2) or paraplegia.

Conclusions: MOG-Abs may be a disease-specific biomarker in adult patients with IDD who have a disease distinct from NMO or MS. The radiologic as well as clinical manifestations of MOG-Ab patients can be useful in their differential diagnosis.

PubMed Disclaimer

Figures

Figure 1
Figure 1. Percent positivity by clinical feature
Overall, 6.3% of patients with inflammatory demyelinating disease were myelin oligodendrocyte glycoprotein antibody (MOG-Ab) positive (black) and 18.1% were aquaporin-4 antibody (AQP4-Ab) positive (blue). The majority of MOG patients had optic neuritis (ON), whereas the majority of AQP4 patients had either neuromyelitis optica (NMO) or acute transverse myelitis (ATM). Just over 50% of patients with recurrent or bilateral ON were antibody-positive. ADEM = acute disseminated encephalomyelitis.
Figure 2
Figure 2. Orbital MRI findings
One-third of myelin oligodendrocyte glycoprotein antibody–positive patients revealed extensive enhancement patterns that were not confined to the optic nerve but extended to the soft tissues around the optic nerves (perineural enhancement) (A–D), which were not observed in the neuromyelitis optica group (E and F) or the multiple sclerosis group (G and H). All MRIs were T1-weighted with gadolinium enhancement. Red lines in A, C, E, and G highlight the level where the transverse images in B, D, F, and H are taken.
Figure 3
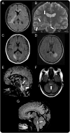
Figure 3. Brain MRI findings in patients with MOG-Ab
Extensive brain lesions with large diameter (A and B), posterior reversible encephalopathy–like lesions (C and D), and symmetric brainstem lesions involving pontine tegmentum (E–G) were found in the myelin oligodendrocyte glycoprotein antibody (MOG-Ab) group. A, C, D, F, and G = fluid-attenuated inversion recovery; B = T2-weighted image; E = double inversion recovery.
Figure 4
Figure 4. Pattern of relapse in patients with MOG-Ab
Five myelin oligodendrocyte glycoprotein antibody (MOG-Ab)–positive patients experienced a relapse, all of which manifested as optic neuritis (ON). All patients with a relapsing disease course experienced a relapse within the first year of disease onset. Blue bar represents treatment period for relapse prevention.

References

    1. Polman CH, Reingold SC, Banwell B, et al. Diagnostic criteria for multiple sclerosis: 2010 revisions to the McDonald criteria. Ann Neurol 2011;69:292–302. - PMC - PubMed
    1. Wingerchuk DM, Lennon VA, Pittock SJ, Lucchinetti CF, Weinshenker BG. Revised diagnostic criteria for neuromyelitis optica. Neurology 2006;66:1485–1489. - PubMed
    1. de Seze J, Debouverie M, Zephir H, et al. Acute fulminant demyelinating disease: a descriptive study of 60 patients. Arch Neurol 2007;64:1426–1432. - PubMed
    1. Shams P, Plant G. Optic neuritis: a review. Int MS J 2009;16:82–89. - PubMed
    1. Transverse Myelitis Consortium Working Group. Proposed diagnostic criteria and nosology of acute transverse myelitis. Neurology 2002;59:499–505. - PubMed