Primary cardiac lymphoma: two cases and a review of literature
- PMID: 26518127
- PMCID: PMC4628386
- DOI: 10.1186/s13019-015-0348-0
Primary cardiac lymphoma: two cases and a review of literature
Abstract
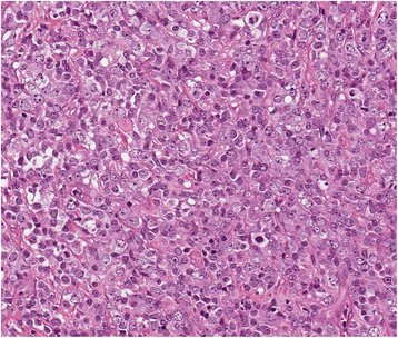
Background: Primary cardiac lymphoma is one of the rarest tumours of the heart. It belongs to the extra-nodal non-Hodgkin's lymphomas. The most common type of this tumour is diffuse large B cell lymphoma. Usually, right atrium and right ventricle are involved. This tumour is fatal unless diagnosed and treated in time. In this article two female patients who were diagnosed with primary cardiac lymphoma and treated at our clinic are described. The first patient went to remission after the treatment, while the second patient died. The goals of this article are to show the difficulties of diagnosing and treating this disease, the role of cardiac surgery in its treatment and to raise awareness of this disease.
Case reports: In this article two female patients who were diagnosed with primary cardiac lymphoma and treated at our clinic are described. The first patient went to remission after the treatment, while the second patient died.
Conclusions: Primary cardiac lymphoma is a very rare disease. At the moment the most effective treatment is chemotherapy. Palliative surgery may be necessary to correct hemodynamics when venous blood flow to the lungs is disturbed.
Figures
References
-
- Zhong L, Yang S, Lei K, Jia Y. Primary cardiac lymphoma: a case report and review of the literature. Chin-Ger J Clin Oncol. 2013;12:43–5. doi: 10.1007/s10330-012-1095-5. - DOI
Publication types
MeSH terms
LinkOut - more resources
Full Text Sources
Other Literature Sources
