The Role of Minimally Invasive Surgical Techniques in the Management of Large-gland Benign Prostatic Hypertrophy
- PMID: 26543428
- PMCID: PMC4633657
The Role of Minimally Invasive Surgical Techniques in the Management of Large-gland Benign Prostatic Hypertrophy
Abstract
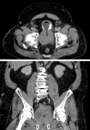
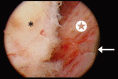
Lower urinary tract symptoms (LUTS) secondary to benign prostatic hypertrophy (BPH) are among the most common medical issues for aging men. Population-based studies suggest that 13.8% of men in their 40s and more than 40% of men over age 60 have BPH. When LUTS are refractory to medical therapy and bothersome enough to warrant surgical intervention, transurethral resection of the prostate and open simple prostatectomy have been the historical reference-standard procedures for decades. Both procedures are highly effective and offer durable improvements in urinary functional outcomes. However, they also have the potential for considerable perioperative complications and morbidity. In an effort to limit surgical morbidity, a variety of minimally invasive surgical techniques to treat BPH have been introduced. Herein we present a comprehensive, evidence-based review of the efficacy and safety profile of modern minimally invasive treatments for large-gland BPH.
Keywords: Benign prostatic hypertrophy; GreenLight photovaporization; Holmium laser enucleation of the prostate (HoLEP); Lower urinary tract symptoms; Robotic simple prostatectomy.
Figures




References
-
- Garraway WM, Collins GN, Lee RJ. High prevalence of benign prostatic hypertrophy in the community. Lancet. 1991;338:469–471. - PubMed
-
- Oelke M, Bachmann A, Descazeaud A, et al. European Association of Urology, authors. EAU guidelines on the treatment and follow-up of non-neurogenic male lower urinary tract symptoms including benign prostatic obstruction. Eur Urol. 2013;64:118–140. - PubMed
-
- Ahyai SA, Gilling P, Kaplan SA, et al. Meta-analysis of functional outcomes and complications following transurethral procedures for lower urinary tract symptoms resulting from benign prostatic enlargement. Eur Urol. 2010;58:384–397. - PubMed
-
- Thomas AW, Cannon A, Bartlett E, et al. The natural history of lower urinary tract dysfunction in men: minimum 10-year urodynamic followup of transurethral resection of prostate for bladder outlet obstruction. J Urol. 2005;174:1887–1891. - PubMed
-
- Varkarakis I, Kyriakakis Z, Delis A, et al. Long-term results of open transvesical prostatectomy from a contemporary series of patients. Urology. 2004;64:306–310. - PubMed
LinkOut - more resources
Full Text Sources