Medullary Microvascular Thrombosis and Injury in Sickle Hemoglobin C Disease
- PMID: 26546258
- PMCID: PMC4849830
- DOI: 10.1681/ASN.2015040399
Medullary Microvascular Thrombosis and Injury in Sickle Hemoglobin C Disease
Abstract
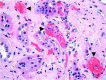
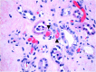
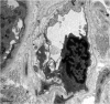
Sickle cell nephropathy is a common complication in patients with sickle cell hemoglobinopathies. In these disorders, polymerization of mutated hemoglobin S results in deformation of red blood cells, which can cause endothelial cell injury in the kidney that may lead to thrombus formation when severe or manifest by multilayering of the basement membranes (glomerular and/or peritubular capillaries) in milder forms of injury. As the injury progresses, the subsequent ischemia, tubular dysfunction, and glomerular scarring can result in CKD or ESRD. Sickle cell nephropathy can occur in patients with homozygous hemoglobin SS or heterozygous hemoglobin S (hemoglobin SC, hemoglobin S/β(0)-thalassemia, and hemoglobin S/β(+)-thalassemia). Clinical manifestations resulting from hemoglobin S polymerization are often milder in patients with heterozygous hemoglobin S. These patients may not present with clinically apparent acute sickle cell crises, but these milder forms can provide a unique view of the kidney injury in sickle cell disease. Here, we report a patient with hemoglobin SC disease who showed peritubular capillary and vasa recta thrombi and capillary basement membrane alterations primarily involving the renal medulla. This patient highlights the vascular occlusion and endothelial cell injury in the medulla that contribute to sickle cell nephropathy.
Keywords: endothelial cells; peritubular capillary; renal pathology; thrombosis.
Copyright © 2016 by the American Society of Nephrology.
Figures




References
-
- Rees DC, Williams TN, Gladwin MT: Sickle-cell disease. Lancet 376: 2018–2031, 2010 - PubMed
-
- Finn LS: Renal disease caused by inborn errors of metabolism, storage diseases, and hemoglobinopathies. In: Heptinstall’s Pathology of the Kidney, 7th Ed., edited by Jennette JC, Olson JL, Silva FG, D’Agati VD, Philadelphia, Wolters Kluwer, 2015, pp 1258–1268
-
- Powars DR, Elliott-Mills DD, Chan L, Niland J, Hiti AL, Opas LM, Johnson C: Chronic renal failure in sickle cell disease: Risk factors, clinical course, and mortality. Ann Intern Med 115: 614–620, 1991 - PubMed
Publication types
MeSH terms
LinkOut - more resources
Full Text Sources
Medical
Research Materials