Ultrasound: the triage tool in the emergency department: using ultrasound first
- PMID: 26568440
- PMCID: PMC4985450
- DOI: 10.1259/bjr.20150790
Ultrasound: the triage tool in the emergency department: using ultrasound first
Abstract
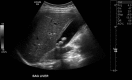
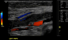
Ultrasound in the emergency department has long been recognized as a powerful screening and diagnostic tool for both physicians and radiologists. In the emergency department, since time is of the essence, it becomes a critical tool in triaging patients. Over the years, ultrasound has gained several advantages over other modalities because of its non-ionizing radiation, portability, accessibility, non-invasive method and simpler learning curve. As a result, ultrasound has become one of the most frequently used diagnostic tools in the emergency department by non-radiologists. The value of ultrasound is implemented in every acute ailment in the emergency department such as trauma, acute abdomen, acute pelvic pain, acute scrotal pain, appendicitis in children and acute deep venous thrombosis. Our objective is to discuss the benefit of using ultrasound as the primary modality for each of these diseases.
Figures





References
Publication types
MeSH terms
LinkOut - more resources
Full Text Sources
Other Literature Sources
Research Materials