Multiple osteochondroma of the hand: initial and long-term follow-up study
- PMID: 26568714
- PMCID: PMC4641095
- DOI: 10.1007/s11552-015-9775-6
Multiple osteochondroma of the hand: initial and long-term follow-up study
Abstract
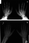
Background: The purpose is to determine the location and type of osteochondromas in patients with multiple osteochondroma of the hand as well as the presence of shortening and angulation. Second, it aims to establish longitudinal data on the change in tumors.
Methods: Retrospective review of patients with multiple osteochondroma affecting the hand evaluating the location and type of tumors as well as the presence of shortening and angulation is done. We examined radiographs from final follow-up and analyzed them based on patient age at presentation (group I = ages 2-6; II = ages 7-10; III = ages 11-19), to determine changes over time and any differences in the number of tumors, location, and shortening and angulation.
Results: The most affected bones were the index and small finger metacarpals with an increase seen around the metacarpophalangeal (MCP) joints. The most shortening and angulation were seen on the ulnar side. Group II had the most tumors and the most bones with angulation. Twenty-three hands had longitudinal follow-up with an overall increase of 2.7 tumors per hand with a range of loss of 8 to gain of 16. There was an increase in the number of bones with angulation and shortening. Group I showed the largest increase in tumors, shortening, and angulation.
Conclusions: The ulnar side and bones around the MCP joints are affected most commonly. The largest change was seen as the patients went from young childhood into adolescence, which may be due to rapid growth during this time. This is the largest study of these patients with the longest longitudinal data.
Keywords: Hand; Multiple hereditary exostoses (MHE); Osteochondroma.
Figures






References
-
- Black B, Dooley J, Pyper A, Reed M. Multiple hereditary exostoses. An epidemiologic study of an isolated community in Manitoba. Clin Orthop Relat Res. 1993;287:212–7. - PubMed
-
- Schmale GA, Conrad EU, Raskind WH. The natural history of hereditary multiple exostoses. J Bone Joint Surg Am. 1994;76(7):986–92. - PubMed
-
- Solomon L. Hereditary multiple exostosis. J Bone Joint Surg Br. 1963;45:292–304.
-
- Stieber JR, Dormans JP. Manifestations of hereditary multiple exostoses. J Am Acad Orthop Surg. 2005;13(2):110–20. - PubMed
Publication types
LinkOut - more resources
Full Text Sources
Other Literature Sources
Miscellaneous