Cardiovascular magnetic resonance techniques and findings in children with myocarditis: a multicenter retrospective study
- PMID: 26576638
- PMCID: PMC4650339
- DOI: 10.1186/s12968-015-0201-6
Cardiovascular magnetic resonance techniques and findings in children with myocarditis: a multicenter retrospective study
Abstract
Background: Cardiovascular magnetic resonance (CMR) is increasingly used to diagnose myocarditis in adults but its use in children is not well-established. We sought to describe the presentation, CMR protocol and findings, and outcomes in a multicenter cohort of children with myocarditis.
Methods: Thirteen hospitals retrospectively identified patients meeting the following inclusion criteria: 1) diagnosis of myocarditis by the managing physicians, 2) age <21 years, 3) CMR examination within 30 days of presentation, and 4) no congenital heart disease. Clinical data and test results, including CMR findings, were abstracted from the medical record.
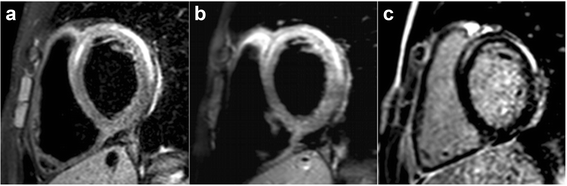
Results: For the 143 patients meeting inclusion criteria, the median age was 16.0 years (range, 0.1-20.3) and 139 (97 %) were hospitalized at the time of CMR. The median time from presentation to CMR was 2 days (0-28). The median left ventricular ejection fraction at CMR was 56 % (10-74), with 29 (20 %) below 45 %. The median right ventricular ejection fraction was 54 % (15-72), with 11 (8 %) below 40 %. There was significant variability among centers in the types of tissue characterization techniques employed (p < 0.001). Overall, late gadolinium enhancement (LGE) was used in 100 % of studies, followed by T2-weighted imaging (T2W) in 69 %, first-pass contrast perfusion (FPP) in 48 %, and early gadolinium enhancement (EGE) in 28 %. Abnormalities were most common with LGE (81 %), followed by T2W (74 %), EGE (55 %), and FPP (8 %). The CMR study was interpreted as positive for myocarditis in 117 patients (82 %), negative in 18 (13 %), and equivocal in 7 (5 %), yielding a sensitivity of 82 %. At a median follow-up of 7.1 months (0-87), all patients were alive and 5 had undergone cardiac transplantation. CMR parameters at presentation associated with persistent left ventricular dysfunction were larger left ventricular end-diastolic volume and lower left and right ventricular ejection fraction but not abnormal LGE.
Conclusions: Despite significant practice variation in imaging protocol among centers, CMR had a high sensitivity for the diagnosis of myocarditis in pediatric patients. Abnormalities were most often seen with LGE followed by T2W, EGE, and FPP. These findings should be useful in designing future prospective studies.
Figures
References
Publication types
MeSH terms
Substances
LinkOut - more resources
Full Text Sources
Other Literature Sources
Medical
