A Simple and Safe Technique for CT Guided Lung Nodule Marking prior to Video Assisted Thoracoscopic Surgical Resection Revisited
- PMID: 26579236
- PMCID: PMC4633686
- DOI: 10.1155/2015/235720
A Simple and Safe Technique for CT Guided Lung Nodule Marking prior to Video Assisted Thoracoscopic Surgical Resection Revisited
Abstract
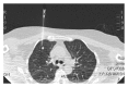
Aim. We describe our experience of a simple, safe, and reproducible technique for lung nodule marking prethoracoscopic metastasectomy. Thoracoscopic lung nodule resection reduces patient discomfort, complications, higher level of care, hospital stay, and cost; however, small deeply placed lung nodules are difficult to locate and resect thoracoscopically. Materials and Methods. We describe and review the success of our novel technique, where nodules are identified on a low dose CT and marked with methylene blue using CT fluoroscopy guidance immediately prior to surgery. Results. 30 nodules were marked with a mean size of 8 mm (4-18 mm) located at a mean depth of 17 mm, distributed through both lungs. Dye was detected at the pleural surface in 97% of the patients and at the nodule in 93%. There were no major complications. Thoracoscopic resection was possible in 90%. Conclusion. This is a simple and safe method of lung nodule marking to facilitate thoracoscopic resection in cases where this may not be technically possible due to nodule location.
Figures
References
LinkOut - more resources
Full Text Sources
Other Literature Sources
