First-trimester diagnosis and management of Cesarean scar pregnancies after in vitro fertilization-embryo transfer: a retrospective clinical analysis of 12 cases
- PMID: 26589452
- PMCID: PMC4654878
- DOI: 10.1186/s12958-015-0120-2
First-trimester diagnosis and management of Cesarean scar pregnancies after in vitro fertilization-embryo transfer: a retrospective clinical analysis of 12 cases
Abstract
Background: Although Caesarean scar pregnancy (CSP) is rare, it can cause life-threatening complications. The increasing rate of Cesarean delivery plus rapid development of in vitro fertilization-embryo transfer (IVF-ET) may increase the occurrence of CSP as well as the ratio of heterotopic CSP (HCSP)/CSP. Therefore, early diagnosis and management of CSP are necessary to avoid serious complications. And the purpose of this article is to evaluate the importance and feasibility of the first-trimester diagnosis and management of CSP after IVF-ET.
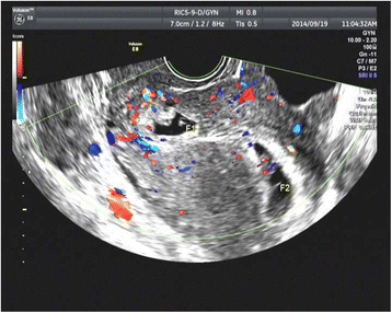
Methods: All the 12 cases were secondary infertility patients who had a history of Cesarean section and underwent IVF-ET in our reproductive center. All cases with CSP were diagnosed using transvaginal color Doppler sonography (TVS). Medical, surgical and expectant managements were implemented, and the management results were traced.
Results: Patients with CSP (n = 12) were diagnosed from January 2011 to April 2015, 6 (50 %) of which were HCSP. The prevalence of CSP was 1:1688 pregnancies. The gestational age ranged from 5 + 3 to 7 + 4 weeks in all CSP, and from 5 + 6 to 7 + 4 weeks in HCSP at diagnosis. Five patients received successful surgical treatment. The success rate of medical and expectant management was 50 % (1/2) and 100 % (5/5), respectively. One patient with failed medical management needed an emergency laparotomy to evacuate CSP. The uterus was preserved in all 12 patients.
Conclusions: The Caesarean section and IVF-ET may increase the ratio of HCSP/CSP. TVS is a noninvasive and effective tool for use in diagnosing CSP. CSP should be carefully excluded in patients who have had a history of Caesarean section. Early diagnosis of CSP in the first trimester may contribute towards the preservation of uterus as well as intrauterine pregnancy (IUP) in HCSP.
Figures


References
-
- Larsen JV, Solomon MH. Pregnancy in a uterine scar sacculus--an unusual cause of postabortal haemorrhage. A case report. S Afr Med J. 1978;53:142–3. - PubMed
-
- Rajakumar C, Agarwal S, Khalil H, Fung Kee Fung KM, Shenassa H, Singh SS. Caesarean scar pregnancy. J Obstet Gynaecol Can. 2015;37:199–200. - PubMed
MeSH terms
LinkOut - more resources
Full Text Sources
Other Literature Sources
Miscellaneous