Successful Intravascular Correction of Intratumoral Pseudoaneurysm by Erosion of the Aorta in a Patient with Thoracic Giant Cell Tumor of Bone Responding to Denosumab
- PMID: 26600960
- PMCID: PMC4639671
- DOI: 10.1155/2015/626741
Successful Intravascular Correction of Intratumoral Pseudoaneurysm by Erosion of the Aorta in a Patient with Thoracic Giant Cell Tumor of Bone Responding to Denosumab
Abstract
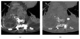
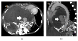
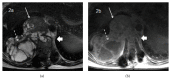
Giant cell tumor of bone (GCT) is a rare, locally aggressive neoplasm characterized by the presence of giant cells with osteoclast activity. Its biology involves the overexpression of the Receptor Activator of Nuclear Factor kB Ligand (RANKL) by osteoclast-like giant cells and tumor stromal cells, which has been shown to be an actionable target in this disease. In cases amenable to surgical resection, very few therapeutic options were available until the recent demonstration of significant activity of the anti-RANK-ligand monoclonal antibody denosumab. Here we present a case of a patient with advanced GCT arising in the spine, recurring after multiple resections and embolization. Following initiation of denosumab, which resulted in unequivocal clinical improvement, computed tomography of the chest done for reassessment purposes revealed an intratumoral pseudoaneurysm by erosion of the aorta, further corrected by endovascular approach and stent placement. Patient had an unremarkable recovery from the procedure and continued benefit from therapy with denosumab and remains on treatment 24 months after the first dose.
Figures
References
-
- Campanacci M., Baldini N., Boriani S., Sudanese A. Giant-cell tumor of bone. The Journal of Bone & Joint Surgery—American Volume. 1987;69(1):106–114. - PubMed
-
- Chawla S., Henshaw R., Seeger L., et al. Safety and efficacy of denosumab for adults and skeletally mature adolescents with giant cell tumour of bone: interim analysis of an open-label, parallel-group, phase 2 study. The Lancet Oncology. 2013;14(9):901–908. doi: 10.1016/s1470-2045(13)70277-8. - DOI - PubMed
LinkOut - more resources
Full Text Sources
Other Literature Sources
