Skip to main page content
U.S. flag

An official website of the United States government

Dot gov

The .gov means it’s official.
Federal government websites often end in .gov or .mil. Before sharing sensitive information, make sure you’re on a federal government site.

Https

The site is secure.
The https:// ensures that you are connecting to the official website and that any information you provide is encrypted and transmitted securely.

Access keys NCBI Homepage MyNCBI Homepage Main Content Main Navigation
Review
. 2015 Oct 20;5(3):223-6.
doi: 10.11138/mltj/2015.5.3.223. eCollection 2015 Jul-Sep.

Enthesopathy of the pectoralis major tendon mimicking osteoid osteoma. A case report with an unfortunate series of events

Affiliations
Review

Enthesopathy of the pectoralis major tendon mimicking osteoid osteoma. A case report with an unfortunate series of events

Daniel Baumhoer et al. Muscles Ligaments Tendons J. .

Abstract

Background: we present the case of an enthesopathy at the proximal humerus which was initially - due to the clinical history and a positive bone scintigraphy - regarded suspicious for metastatic breast cancer in a 50-year-old woman.

Case report: after complementing radiographs and a magnetic resonance (MR) examination exhibiting a focally contrast enhancing juxtacortical osteolysis of the humerus, a metastasis seemed radiologically unlikely, but besides a traction-related periosteal reaction of the pectoralis major tendon an unusual osteoid osteoma could not unequivocally be ruled out. Although radiological follow-up was recommended the patient insisted on a surgical resection that was performed subsequently and confirmed an enthesopathy. Shortly after, she fractured her upper arm following minor trauma but is doing well after conservative treatment since then.

Conclusion: enthesopathies presenting as unusual periosteal reactions can mimic primary and secondary bone tumors and should always be included in the differential diagnosis.

Keywords: bone scan; enthesopathy; metastases; osteoid osteoma; pectoralis major tendon; secondary fracture.

PubMed Disclaimer

Figures

Figure 1
Figure 1
A 50-year-old woman with chronic back pain and clinical history of breast cancer three years ago underwent a 99m Technetium DPD bone scintigraphy with a focal bone tracer uptake (arrow) of the left proximal lateral humerus shown on the whole body scan (A) as well as on the spot view (B).
Figure 2
Figure 2
External rotation anteroposterior radiograph of the left humerus shows a focal juxtacortical lucency (arrow) surrounded by a smooth, uniform non-aggressive periosteal reaction.
Figure 3
Figure 3
MR images show a small, 5 × 4 mm juxtacortical lesion (arrows) of the anterolateral humerus at the insertion of the pectoralis major tendon (arrowheads in B) with increased signal intensity on the T2 fat suppressed image (A), slight increased signal intensity on the T2 image (B), intermediate signal intensity on the T1 image (C) and enhancement after contrast administration (D). The underyling cortex is slightly thinned.
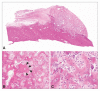
Figure 4
Figure 4
Histology of the resection specimen revealed an osteoid osteoma-like reactive new bone formation directly at the insertion of the pectoralis major tendon (A, H&E stain, ×1 magnification). Higher magnification shows residual lamellar bone (arrowheads) surrounded by irregular woven bone (B, H&E stain, ×50 magnification) and a well vascularized fibrous stroma without atypical cells (C, H&E stain, ×200 magnification).

References

    1. Standring S. Functional anatomy of the muskuloskeletal system. In: Standring S, editor. Gray’s Anatomy - The Anatomical Basis of Clinical Practice. 39th ed. London, UK: Elsevier Churchill Livingstone; 2005. pp. 83–136.
    1. Benjamin M, Toumi H, Ralphs JR, Bydder G, Best TM, Milz S. Where tendons and ligaments meet bone: attachment sites (‘entheses’) in relation to exercise and/or mechanical load. J Anat. 2006;208:471–490. - PMC - PubMed
    1. Arend CF. Role of sonography and magnetic resonance imaging in detecting deltoideal acromial enthesopathy: an early finding in the diagnosis of spondyloarthritis and an under-recognized cause of posterior shoulder pain. J Ultrasound Med. 2014;33:557–561. - PubMed
    1. Assoun J, Richardi G, Railhac JJ, et al. Osteoid osteoma: MR imaging versus CT. Radiology. 1994;191:217–223. - PubMed
    1. Davies M, Cassar-Pullicino VN, Davies AM, McCall IW, Tyrrell PN. The diagnostic accuracy of MR imaging in osteoid osteoma. Skeletal Radiol. 2002;31:559–569. - PubMed

LinkOut - more resources