Lipopolysaccharide-induced blood-brain barrier disruption: roles of cyclooxygenase, oxidative stress, neuroinflammation, and elements of the neurovascular unit
- PMID: 26608623
- PMCID: PMC4660627
- DOI: 10.1186/s12974-015-0434-1
Lipopolysaccharide-induced blood-brain barrier disruption: roles of cyclooxygenase, oxidative stress, neuroinflammation, and elements of the neurovascular unit
Abstract
Background: Disruption of the blood-brain barrier (BBB) occurs in many diseases and is often mediated by inflammatory and neuroimmune mechanisms. Inflammation is well established as a cause of BBB disruption, but many mechanistic questions remain.
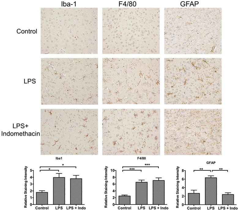
Methods: We used lipopolysaccharide (LPS) to induce inflammation and BBB disruption in mice. BBB disruption was measured using (14)C-sucrose and radioactively labeled albumin. Brain cytokine responses were measured using multiplex technology and dependence on cyclooxygenase (COX) and oxidative stress determined by treatments with indomethacin and N-acetylcysteine. Astrocyte and microglia/macrophage responses were measured using brain immunohistochemistry. In vitro studies used Transwell cultures of primary brain endothelial cells co- or tri-cultured with astrocytes and pericytes to measure effects of LPS on transendothelial electrical resistance (TEER), cellular distribution of tight junction proteins, and permeability to (14)C-sucrose and radioactive albumin.
Results: In comparison to LPS-induced weight loss, the BBB was relatively resistant to LPS-induced disruption. Disruption occurred only with the highest dose of LPS and was most evident in the frontal cortex, thalamus, pons-medulla, and cerebellum with no disruption in the hypothalamus. The in vitro and in vivo patterns of LPS-induced disruption as measured with (14)C-sucrose, radioactive albumin, and TEER suggested involvement of both paracellular and transcytotic pathways. Disruption as measured with albumin and (14)C-sucrose, but not TEER, was blocked by indomethacin. N-acetylcysteine did not affect disruption. In vivo, the measures of neuroinflammation induced by LPS were mainly not reversed by indomethacin. In vitro, the effects on LPS and indomethacin were not altered when brain endothelial cells (BECs) were cultured with astrocytes or pericytes.
Conclusions: The BBB is relatively resistant to LPS-induced disruption with some brain regions more vulnerable than others. LPS-induced disruption appears is to be dependent on COX but not on oxidative stress. Based on in vivo and in vitro measures of neuroinflammation, it appears that astrocytes, microglia/macrophages, and pericytes play little role in the LPS-mediated disruption of the BBB.
Figures
References
-
- Skoog T. On the vital staining of the central nervous system. Acta Otolaryngologica. 1937;25:365–78. doi: 10.3109/00016483709127973. - DOI
-
- Rapoport SI. Blood-brain barrier in physiology and medicine. New York: Raven; 1976. Pathological alterations of the blood-brain barrier; pp. 129–52.
-
- Persidsky Y, Stins M, Way D, Witte MH, Weinand M, Kim KS, et al. A model for monocyte migration through the blood-brain barrier during HIV-1 encephalitis. J Immunol. 1997;158:3499–510. - PubMed
Publication types
MeSH terms
Substances
Grants and funding
LinkOut - more resources
Full Text Sources
Other Literature Sources
