Brainstem Tuberculoma in Pregnancy
- PMID: 26618014
- PMCID: PMC4649079
- DOI: 10.1155/2015/179483
Brainstem Tuberculoma in Pregnancy
Abstract
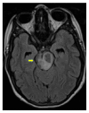
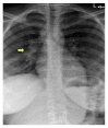
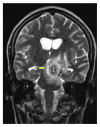
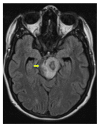
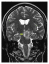
We report a case of a Somali refugee who presented in the second trimester of her first pregnancy with a four-week history of gradual right-sided sensomotoric hemisyndrome including facial palsy and left-sided paresis of the oculomotorius nerve causing drooping of the left eyelid and double vision. Cranial magnetic resonance imaging revealed a solitary brainstem lesion. Upon detection of hilar lymphadenopathy on chest X-ray (CXR), the diagnosis of disseminated tuberculosis with involvement of the central nervous system was confirmed by PCR and treatment induced with rifampicin, isoniazid, pyrazinamide, and ethambutol. The patient had a steady neurological improvement and a favorable pregnancy outcome.
Figures








References
-
- World Health Organization (WHO) 2015, http://www.who.int/mediacentre/factsheets/fs104/en/
-
- Ropper A. G. B. R. Infections of the Nervous System. 8th 2005.
-
- Fitzgerald D. H. D. Mycobacterium tuberculosis. 6th. Philadelphia, Pa, USA: Elsevier Churchill Livingstone; 2005. (edited by: G. L. B. J. Mandell, R. Dolin).
LinkOut - more resources
Full Text Sources
Other Literature Sources