Isolated Renal Metastasis from Non-Small-Cell Lung Cancer: Report of 2 Cases
- PMID: 26618022
- PMCID: PMC4649084
- DOI: 10.1155/2015/357481
Isolated Renal Metastasis from Non-Small-Cell Lung Cancer: Report of 2 Cases
Abstract
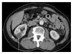
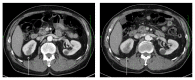
Renal metastasis from non-small-cell lung cancer is rather uncommon; isolated metastasis especially is rare. Herein we report 2 cases who developed a solitary renal metastasis after undergoing a curative resection for non-small-cell lung cancer. They received nephrectomy.
Figures




References
-
- Derweesh I. H., Ismail H. R., Magi-Galluzzi C., Hale J., Goldfarb D. A. Non-small cell lung carcinoma metastatic to the kidney. The Canadian Journal of Urology. 2006;13(5):3281–3282. - PubMed
-
- Scatena C., Comin C. E., Lapini A., Raspollini M. R. Renal metastasis from pulmonary adenocarcinoma: the pathologist's approach to an uncommon finding: case report and review of the literature. Applied Immunohistochemistry & Molecular Morphology. 2013;21(5):460–463. doi: 10.1097/pai.0b013e31827101b1. - DOI - PubMed
LinkOut - more resources
Full Text Sources
Other Literature Sources