Exercise-induced pneumomediastinum
- PMID: 26620306
- PMCID: PMC4666180
- DOI: 10.1186/s12245-015-0089-9
Exercise-induced pneumomediastinum
Abstract
Background: A sudden onset of chest pain, which often reflects a life-threatening disease, requires prompt diagnosis in the emergency department.
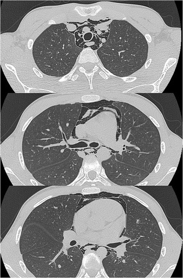
Findings: A 12-year-old boy presented with sustained chest pain and dyspnea after diving into a swimming pool and was transferred to our emergency department. A chest examination noted a crunching and rasping sound at the precordium, synchronous with the heartbeat. Chest radiography showed lucent streaks and the mediastinal pleura at the left cardiac outline. Additionally, computed tomography showed massive pneumomediastinum surrounding the heart. Thus, he was diagnosed with spontaneous pneumomediastinum.
Conclusions: Spontaneous pneumomediastinum should be considered in the differential diagnosis of chest pain. In addition to medical history-taking, careful physical examination, which can identify the characteristic finding of a friction sound synchronous with the heartbeat (Hamman's sound), will help in the immediate diagnosis of spontaneous pneumomediastinum.
Keywords: Chest pain; Emergency medicine; Spontaneous pneumomediastinum; Sports medicine.
Figures
References
- 
    - Berger N, Nichols J, Yap V, Datta D. An unusual cause of acute-onset chest pain: spontaneous pneumomediastinum. Conn Med. 2015;79:201–5. - PubMed
 
LinkOut - more resources
- Full Text Sources
- Other Literature Sources
 
         
               
              