Skip to main page content
U.S. flag

An official website of the United States government

Dot gov

The .gov means it’s official.
Federal government websites often end in .gov or .mil. Before sharing sensitive information, make sure you’re on a federal government site.

Https

The site is secure.
The https:// ensures that you are connecting to the official website and that any information you provide is encrypted and transmitted securely.

Access keys NCBI Homepage MyNCBI Homepage Main Content Main Navigation
Review
. 2015 Dec;24(138):565-81.
doi: 10.1183/16000617.0066-2015.

ERS statement on the multidisciplinary respiratory management of ataxia telangiectasia

Affiliations
Review

ERS statement on the multidisciplinary respiratory management of ataxia telangiectasia

Jayesh M Bhatt et al. Eur Respir Rev. 2015 Dec.

Abstract

Ataxia telangiectasia (A-T) is a rare, progressive, multisystem disease that has a large number of complex and diverse manifestations which vary with age. Patients with A-T die prematurely with the leading causes of death being respiratory diseases and cancer. Respiratory manifestations include immune dysfunction leading to recurrent upper and lower respiratory infections; aspiration resulting from dysfunctional swallowing due to neurodegenerative deficits; inefficient cough; and interstitial lung disease/pulmonary fibrosis. Malnutrition is a significant comorbidity. The increased radiosensitivity and increased risk of cancer should be borne in mind when requesting radiological investigations. Aggressive proactive monitoring and treatment of these various aspects of lung disease under multidisciplinary expertise in the experience of national multidisciplinary clinics internationally forms the basis of this statement on the management of lung disease in A-T. Neurological management is outwith the scope of this document.

PubMed Disclaimer

Conflict of interest statement

For editorial comments see Eur Respir J 2015; 46: 1557–1560 [DOI: 10.1183/13993003.01456-2015].

Conflict of interest: None declared.

Figures

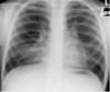
FIGURE 1
FIGURE 1
A plain chest radiograph of a patient with ataxia telangiectasia showing diffuse bibasal interstitial changes.
FIGURE 2
FIGURE 2
Chest computed tomography scan of a patient with ataxia telangiectasia showing diffuse bibasilar interstitial and interlobular reticular opacities with interlobular septal thickening, and bronchiectasis in the right lower lobe. Note that any radiological imaging should use the minimum possible doses, and concerns about radiosensitivity need to be addressed.

References

    1. Orphanet. Ataxia-telangiectasia. www.orpha.net/consor/cgi-bin/OC_Exp.php?lng=EN&Expert=100 Date last accessed: March 15, 2015. Date last updated: October 2007.
    1. Woods CG, Bundey SE, Taylor AM. Unusual features in the inheritance of ataxia telangiectasia. Hum Genet 1990; 84: 555–562. - PubMed
    1. Thompson D, Duedal S, Kirner J, et al. . Cancer risks and mortality in heterozygous ATM mutation carriers. J Natl Cancer Inst 2005; 97: 813–822. - PubMed
    1. Gathmann B, Binder N, Ehl S, et al. . The European internet-based patient and research database for primary immunodeficiencies: update 2011. Clin Exp Immunol 2012; 167: 479–491. - PMC - PubMed
    1. Verhagen MM, Last JI, Hogervorst FB, et al. . Presence of ATM protein and residual kinase activity correlates with the phenotype in ataxia-telangiectasia: a genotype–phenotype study. Hum Mutat 2012; 33: 561–571. - PubMed

MeSH terms