Swallowed dentures: Two cases and a review
- PMID: 26635957
- PMCID: PMC4637341
- DOI: 10.1016/j.amsu.2015.10.008
Swallowed dentures: Two cases and a review
Abstract
Introduction: Denture ingestion or aspiration is a problem requiring awareness of different specialists including dentists, surgeons, otolaryngologists, anesthesiologists etc. in terms of prevention, early diagnosis and adequate treatment. Complications of swallowed dentures include hollow viscus necrosis, perforation, penetration to neighbor organs leading to fistulae, bleeding and obstruction.
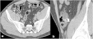
Presentation of cases: First case is a 54-year-old female who accidentally swallowed retractable one-tooth denture during fall about 22 h before admission and clinical manifestation of acute small bowel obstruction developed. The patient underwent laparotomy, enterotomy with retrieval of the foreign body. The second case is a 31-year-old male who accidentally ingested fixed one-tooth prosthesis while eating which impacted in the ileocaecal valve. During the preparation to colonoscopy the denture spontaneously passed out with stools.
Discussion: Denture ingestion is more common among patients with psychoneurologic deficit, alcohol and drug abusers. Among healthy and younger population denture ingestion is rare. Both reported patients are not elder. Thus dislodgement of removable or fixed dentures is another risk factor of denture ingestion. Most common site of denture impaction is esophagus; small bowel impaction is rare. Moreover, in most reported cases, small bowel impaction of ingested dentures leads to small bowel perforation. In our first case the complication of denture ingestion appeared to be bowel obstruction what is even rarer.
Conclusion: Fixed dentures can be accidentally ingested as well as removable dentures. Denture loosening leads to accidental denture ingestion. Patients with denture loosening should be recommended to visit dentist as soon as possible.
Keywords: Denture aspiration; Denture ingestion; Foreign bodies of gastrointestinal tract; Small bowel obstruction; Swallowed denture.
Figures





References
-
- Cheng W., Tam P.K. Foreign-body ingestion in children: experience with 1265 cases. J. Pediatr. Surg. 1999;34:1472–1476. - PubMed
-
- Webb W.A. Management of foreign bodies of the upper gastrointestinal tract: update. Gastrointest. Endosc. 1995;41:39–51. - PubMed
-
- Nandi P., Ong G.B. Foreign body in the esophagus: review of 2394 cases. Br. J. Surg. 1978;65:5–9. - PubMed
-
- Lau G., Kulkarni V., Roberts G.K. Anesth. Analg. 2009;109(3):836–838. - PubMed
Publication types
LinkOut - more resources
Full Text Sources
Other Literature Sources
Research Materials