Xanthogranulomatous cholecystitis mimicking gallbladder carcinoma: An analysis of 42 cases
- PMID: 26640342
- PMCID: PMC4658620
- DOI: 10.3748/wjg.v21.i44.12653
Xanthogranulomatous cholecystitis mimicking gallbladder carcinoma: An analysis of 42 cases
Abstract
Aim: To review and evaluate the diagnostic dilemma of xanthogranulomatous cholecystitis (XGC) clinically.
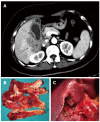
Methods: From July 2008 to June 2014, a total of 142 cases of pathologically diagnosed XGC were reviewed at our hospital, among which 42 were misdiagnosed as gallbladder carcinoma (GBC) based on preoperative radiographs and/or intra-operative findings. The clinical characteristics, preoperative imaging, intra-operative findings, frozen section (FS) analysis and surgical procedure data of these patients were collected and analyzed.
Results: The most common clinical syndrome in these 42 patients was chronic cholecystitis, followed by acute cholecystitis. Seven (17%) cases presented with mild jaundice without choledocholithiasis. Thirty-five (83%) cases presented with heterogeneous enhancement within thickened gallbladder walls on imaging, and 29 (69%) cases presented with abnormal enhancement in hepatic parenchyma neighboring the gallbladder, which indicated hepatic infiltration. Intra-operatively, adhesions to adjacent organs were observed in 40 (95.2%) cases, including the duodenum, colon and stomach. Thirty cases underwent FS analysis and the remainder did not. The accuracy rate of FS was 93%, and that of surgeon's macroscopic diagnosis was 50%. Six cases were misidentified as GBC by surgeon's macroscopic examination and underwent aggressive surgical treatment. No statistical difference was encountered in the incidence of postoperative complications between total cholecystectomy and subtotal cholecystectomy groups (21% vs 20%, P > 0.05).
Conclusion: Neither clinical manifestations and laboratory tests nor radiological methods provide a practical and effective standard in the differential diagnosis between XGC and GBC.
Keywords: Cholecystectomy; Frozen-section analysis; Gallbladder carcinoma; Xanthogranulomatous cholecystitis.
Figures
References
-
- Kwon AH, Matsui Y, Uemura Y. Surgical procedures and histopathologic findings for patients with xanthogranulomatous cholecystitis. J Am Coll Surg. 2004;199:204–210. - PubMed
-
- Pinocy J, Lange A, König C, Kaiserling E, Becker HD, Kröber SM. Xanthogranulomatous cholecystitis resembling carcinoma with extensive tumorous infiltration of the liver and colon. Langenbecks Arch Surg. 2003;388:48–51. - PubMed
-
- Spinelli A, Schumacher G, Pascher A, Lopez-Hanninen E, Al-Abadi H, Benckert C, Sauer IM, Pratschke J, Neumann UP, Jonas S, et al. Extended surgical resection for xanthogranulomatous cholecystitis mimicking advanced gallbladder carcinoma: A case report and review of literature. World J Gastroenterol. 2006;12:2293–2296. - PMC - PubMed
-
- Kwon AH, Sakaida N. Simultaneous presence of xanthogranulomatous cholecystitis and gallbladder cancer. J Gastroenterol. 2007;42:703–704. - PubMed
Publication types
MeSH terms
Supplementary concepts
LinkOut - more resources
Full Text Sources
Other Literature Sources
Medical
