Morphological differentiation and follow-up of pancreatic cystic neoplasms using endoscopic ultrasound
- PMID: 26643699
- PMCID: PMC4672589
- DOI: 10.4103/2303-9027.170423
Morphological differentiation and follow-up of pancreatic cystic neoplasms using endoscopic ultrasound
Abstract
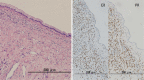
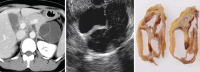
Endoscopic ultrasound (EUS) is a key modality for the evaluation of suspected pancreatic cystic neoplasms (PCNs), as the entire pancreatic gland can be demonstrated with high spatial resolution from the stomach and duodenum. Detailed information can be acquired about the internal contents of the cyst(s) [septum, capsule, mural nodules (MNs)], its relation with the main pancreatic duct (MPD), and any parenchymal changes in the underlying gland. PCNs comprise true cysts and pseudocysts. True cysts can be neoplastic or nonneoplastic. Here, we describe serous cystic neoplasm (SCN), mucinous cystic neoplasm (MCN), and intraductal papillary mucinous neoplasm (IPMN) as prototype neoplastic cysts, along with nonneoplastic lymphoepithelial cysts (LECs).
Figures













References
-
- Sakorafas GH, Smyrniotis V, Sarr MG. Pancreatic cystic neoplasms. 2015
-
- Lennon AM, Wolfgang C. Cystic neoplasms of the pancreas. J Gastrointest Surg. 2013;17:645–53. - PubMed
LinkOut - more resources
Full Text Sources
Other Literature Sources