Clinical manifestations and endoscopic findings of amebic colitis in a United States-Mexico border city: a case series
- PMID: 26666636
- PMCID: PMC4678475
- DOI: 10.1186/s13104-015-1787-3
Clinical manifestations and endoscopic findings of amebic colitis in a United States-Mexico border city: a case series
Abstract
Background: Invasive amebiasis is not frequently seen in the United States. It is associated with considerable morbidity in patients residing in or traveling to endemic areas. We report a case series of patients with amebic colitis in a United States-Mexico border city to alert physicians to the varied clinical manifestations.
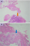
Case presentation: Nine patients were diagnosed with amebic colitis. Mean age was 56 (38-83), 6 were males, and all were Hispanic. Common symptoms were diarrhea (56 %), hematochezia (33 %) and abdominal bloating (11 %). The diagnosis of amebic colitis was established in the following ways: 8 patients by colonoscopy with biopsy, 1 by surgery for colonic obstruction. The diagnosis of amebic colitis was confirmed in 8 patients (89 %) by amebic trophozoites present in histopathologic sections. One patient was diagnosed with amebic colitis based upon clinical symptoms, colitis on colonoscopy and visualization of amebic trophozoites on stool examination. In the 8 patients in whom colonoscopy was done, 6 (75 %) had inflammation with rectosigmoid involvement and 5 (62.5 %) had ulcerations. Infection resolved after treatment with metronidazole in most patients; however, one patient developed a liver abscess and another had a colonic perforation and later developed a liver abscess.
Conclusion: The occurrence of amebic colitis in this United States-Mexico border city hospital population was low, but in some cases potentially life-threatening. Physicians should be alert to the less common presentations of amebic colitis, such as overt gastrointestinal bleeding, exacerbation of inflammatory bowel disease, and the incidental finding of association with colon cancer, or a surgical abdomen. Rectosigmoid involvement was typically found on colonoscopy.
Figures




References
Publication types
MeSH terms
LinkOut - more resources
Full Text Sources
Other Literature Sources
Medical