Skip to main page content
U.S. flag

An official website of the United States government

Dot gov

The .gov means it’s official.
Federal government websites often end in .gov or .mil. Before sharing sensitive information, make sure you’re on a federal government site.

Https

The site is secure.
The https:// ensures that you are connecting to the official website and that any information you provide is encrypted and transmitted securely.

Access keys NCBI Homepage MyNCBI Homepage Main Content Main Navigation
Review
. 2013 Mar;13(52):50-64.
doi: 10.15557/JoU.2013.0004. Epub 2013 Mar 30.

Standards of the Polish Ultrasound Society - update. Spleen examination

Affiliations
Review

Standards of the Polish Ultrasound Society - update. Spleen examination

Joanna Walczyk et al. J Ultrason. 2013 Mar.

Abstract

Ultrasound scan of the spleen is an integral part of the overall abdominal examination. Due to its anatomical position, physical examination of the spleen is frequently supplemented with an ultrasound which plays a special role in the differential diagnostics of splenic diseases and facilitates the determination of further diagnostic and therapeutic procedures. Similarly to other types of ultrasound scans, the examiner should be familiar with all significant clinical information as well as results of examinations and tests conducted so far. This enables to narrow the scope of search for etiological factors and indicate specific disease entities in the findings as well as allows for accurate assessment of coexistent pathologies. The article presents the standards of the Polish Ultrasound Society concerning the apparatus, preparation for the examination, technique and description of the findings. The authors discuss the normal anatomy of the spleen and the most common pathologies ranging from splenomegaly to splenic traumas. The indications for the contrast-enhanced ultrasound and characteristic patterns of enhancement of individual focal lesions are presented. This article is supplemented with photographic documentation, which provides images of the discussed lesions. The ultrasound examination, if carried out in compliance with current standards, allows for accurate interpretation of detected changes. This article has been prepared on the basis of the Ultrasound Examination Standards of the Polish Ultrasound Society (2011) and updated with the current knowledge.

Badanie ultrasonograficzne śledziony jest integralną częścią badania jamy brzusznej. Z uwagi na anatomiczne położenie badanie fizykalne śledziony często uzupełnia się badaniem ultrasonograficznym, odgrywającym szczególną rolę w diagnostyce różnicowej chorób śledziony, wyznaczającym kierunki dalszego postępowania diagnostycznego i terapeutycznego. Podobnie jak w przypadku innych rodzajów badań ultrasonograficznych, badający powinien mieć dostęp do wszystkich istotnych informacji klinicznych i wyników dotychczas wykonanych badań. Umożliwi to zawężenie obszaru poszukiwań czynników etiologicznych ze wskazaniem, w wyniku badania, na konkretne jednostki chorobowe i dokładną ocenę współistniejących patologii. W artykule przedstawiono standardy badania ultrasonograficznego śledziony Polskiego Towarzystwa Ultrasonograficznego dotyczące aparatury, przygotowania do badania, jego techniki i opisu. Omówiono prawidłową budowę śledziony oraz jej najczęstsze zmiany patologiczne, zaczynając od splenomegalii, a kończąc na urazach śledziony. Przedstawiono wskazania do wykonania badania ultrasonograficznego z użyciem środków kontrastujących oraz omówiono charakterystyczne wzorce wzmocnienia poszczególnych zmian ogniskowych. Do pracy dołączono dokumentację zdjęciową, obrazującą omawiane zmiany. Wykonanie badań zgodnie z obowiązującymi standardami pozwala na optymalną ocenę narządu oraz prawidłową interpretację wykrytych zmian. Praca została przygotowana na podstawie publikacji pt. Standardy badań ultrasonograficznych Polskiego Towarzystwa Ultrasonograficznego (2011) i uzupełniona o aktualne doniesienia.

Keywords: focal lesions of the spleen; spleen ultrasound examination; splenic diseases; splenic traumas; standards of spleen ultrasound examination.

PubMed Disclaimer

Figures

Fig. 1
Fig. 1
Enlarged lymph nodes in a patient with lymphoma (arrows)
Fig. 2
Fig. 2
Collateral vessels in the splenic hilum (arrows)
Fig. 3
Fig. 3
Three accessory spleens (arrows)
Fig. 4
Fig. 4
Splenic infarction of a characteristic pyramid-like shape (Z)
Fig. 5
Fig. 5
Congenital cyst with extravasated blood. The cholesterol crystals cause high echogenicity of the lumen
Fig. 6
Fig. 6
Splenic angioma (crosses)
Fig. 7
Fig. 7
Hyperechoic lesions of the spleen – the outcome of the tuberculous process
Fig. 8
Fig. 8
Mycotic abscess of the spleen – the appearance of the “target”
Fig. 9
Fig. 9
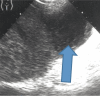
Splenoma (arrow)
Fig. 10
Fig. 10
Single lymphoma in the form of a solid-cystic focal lesion
Fig. 11
Fig. 11
Splenic parenchyma infiltrated by lymphoma
Fig. 12 A
Fig. 12 A
Metastases of the melanoma to the spleen – the appearance of the “target” (arrow)
Fig. 12 B
Fig. 12 B
Metastasis of the melanoma to the spleen as a solitary cyst-like focal lesion (arrow)
Fig. 13 A
Fig. 13 A
Aneurysm of the splenic artery (arrow)
Fig. 13 B
Fig. 13 B
Aneurysm of the splenic artery
Fig. 14
Fig. 14
Subcapsular hematoma of the spleen (arrow)
Fig. 15
Fig. 15
Splenic hematoma (crosses)

References

    1. Piscaglia F, Nolsøe C, Dietrich CF, Cosgrove DO, Gilja OH, Bachmann Nielsen M, et al. The EFSUMB Guidelines and Recommendations on the Clinical Practice of Contrast Enhanced Ultrasound (CEUS): update 2011 on non-hepatic applications. Ultraschall Med. 2012;33:33–59. - PubMed
    1. Popescu A, Sporea I, Şirli R, Dănilă M, Nicoliţă D, Martie A. The role of contrast-enhanced ultrasonography with second generation contrast agents in the evaluation of focal splenic lesions. Med Ultrason. 2009;11:61–65.
    1. Jakubowski W, editor. Praktyczna Ultrasonografia. 4. Warszawa – Zamość: Roztoczańska Szkoła Ultrasonografii; 2011. Standardy badań ultrasonograficznych Polskiego Towarzystwa Ultrasonograficznego; pp. 158–160. 355–357.
    1. Jakubowski W, editor. Praktyczna Ultrasonografia. Warszawa – Zamość: Roztoczańska Szkoła Ultrasonografii; 2003. Diagnostyka ultrasonograficzna w gabinecie lekarza rodzinnego; pp. 134–143.
    1. Jakubowski W, editor. Praktyczna Ultrasonografia. Warszawa – Zamość: Roztoczańska Szkoła Ultrasonografii; 2005. Błędy i pomyłki w diagnostyce ultrasonograficznej; pp. 124–137.

LinkOut - more resources