Retrospective analysis of the efficacy of chemotherapy and molecular targeted therapy for advanced pulmonary pleomorphic carcinoma
- PMID: 26682906
- PMCID: PMC4684621
- DOI: 10.1186/s13104-015-1762-z
Retrospective analysis of the efficacy of chemotherapy and molecular targeted therapy for advanced pulmonary pleomorphic carcinoma
Abstract
Background: Pulmonary pleomorphic carcinoma (PPC) follows an aggressive clinical course and outcomes are disappointing. Due to its rarity, however, the clinicopathological and molecular characteristics of this disease remain unclear.
Methods: We retrospectively evaluated the efficacy of chemotherapy and molecular targeted therapy in 16 patients with PPC who received chemotherapy or EGFR-TKI. We also investigated the status of EGFR mutation, KRAS mutation and ALK expression.
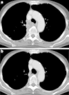
Results: On histologic review of the malignant epithelial component, adenocarcinoma was identified in seven cases (43.8%), large cell carcinoma in four (25.0%), and squamous cell carcinoma in two (12.5%). For the sarcomatoid component, 14 cases (87.5%) had both spindle cell tumor and giant cell and 2 (12.5%) had giant cell. Eleven patients received cytotoxic chemotherapy as first-line but did not achieve an objective response, although one patient who received docetaxel as second-line achieved a partial response. We also found that one patient achieved long stable disease of about 9 years without progression after receiving cisplatin and gemcitabine treatment. EGFR mutation, KRAS mutation and ALK expression were investigated in 14 patients whose tumor specimens were available. EGFR mutation was observed in 2 (14.3%) and KRAS mutation in 3 (21.4%), while no patient was positive for ALK expression. One patient harboring EGFR exon 19 deletion was treated with gefitinib after postoperative recurrence and achieved a complete response of about 35 months.
Conclusions: Although advanced PPC showed a poor response to chemotherapy, one patient with EGFR mutation achieved an extended complete response. We therefore recommend the evaluation of driver gene alteration such as EGFR in the treatment of advanced PPC.
Figures


References
-
- Travis WD. Pathology of lung cancer. Clin Chest Med. 2002;23(1):65–81. - PubMed
-
- Travis WD, Brambilla E, Muller-Hermelink HK, Harris CC. Pathology and genetics of tumours of the lung, pleura, thymus and heart. Lyon: International Agency for Research on Cancer Press; 2004.
MeSH terms
Substances
LinkOut - more resources
Full Text Sources
Other Literature Sources
Medical
Research Materials
Miscellaneous