The number of polyploid giant cancer cells and epithelial-mesenchymal transition-related proteins are associated with invasion and metastasis in human breast cancer
- PMID: 26702618
- PMCID: PMC4690326
- DOI: 10.1186/s13046-015-0277-8
The number of polyploid giant cancer cells and epithelial-mesenchymal transition-related proteins are associated with invasion and metastasis in human breast cancer
Erratum in
-
Correction: The number of polyploid giant cancer cells and epithelial-mesenchymal transitionrelated proteins are associated with invasion and metastasis in human breast cancer.J Exp Clin Cancer Res. 2024 Aug 8;43(1):221. doi: 10.1186/s13046-024-03148-y. J Exp Clin Cancer Res. 2024. PMID: 39118183 Free PMC article. No abstract available.
Abstract
Background: Previously, we reported that polyploid giant cancer cells (PGCCs) induced by cobalt chloride (CoCl2) could have generated daughter cells with strong invasiveness and migration capabilities via asymmetric divisions. This study compared the expression of epithelial-mesenchymal transition (EMT)-related proteins, including E-cadherin, N-cadherin, and vimentin, between PGCCs and their daughter cells, and control breast cancer cell lines MCF-7 and MDA-MB-231. The clinicopathological significance of EMT-related protein expression in human breast cancer was analyzed.
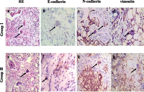
Methods: Western blot was used to compare the expression levels of E-cadherin, N-cadherin, and vimentin in breast cancer lines MCF-7 and MDA-MB-231, between PGCCs with budding daughter cells and control breast cancer cells. Furthermore, 167 paraffin-embedded breast tumor tissue samples were analyzed, including samples obtained from 52 patients with primary breast cancer with lymph node metastasis (group I) and their corresponding lymph node metastatic tumors (group II), 52 patients with primary breast cancer without metastasis (group III), and 11 patients with benign breast lesions (group IV). The number of PGCCs was compared among these four groups.
Results: The number of PGCCs increased with the malignant grade of breast tumor. Group IIhad the highest number of PGCCs and the differences among group I, II, III and IV had statistically significance (P =0.000). In addition, the expression of E-cadherin (P = 0.000), N-cadherin (P = 0.000), and vimentin (P = 0.000) was significantly different among the four groups. Group II exhibited the highest expression levels of N-cadherin and vimentin and the lowest expression levels of E-cadherin.
Conclusions: These data suggest that the number of PGCCs and the EMT-related proteins E-cadherin, N-cadherin, and vimentin may be valuable biomarkers to assess metastasis in patients with breast cancer.
Figures
References
Publication types
MeSH terms
Substances
LinkOut - more resources
Full Text Sources
Other Literature Sources
Medical
Research Materials
Miscellaneous
