Dedifferentiated Chondrosarcoma of the Larynx
- PMID: 26718693
- PMCID: PMC4972750
- DOI: 10.1007/s12105-015-0676-3
Dedifferentiated Chondrosarcoma of the Larynx
Abstract
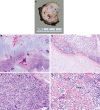
Primary dedifferentiated chondrosarcoma occurring in the larynx is a rare head and neck malignancy. The cases reported in the literature suggest male gender predilection and variable clinical outcomes ranging from disease-free survival to disease-related death. Although a calcified matrix is suggestive of chondrosarcoma, the dedifferentiated component is not readily appreciated on conventional imaging modalities and thorough tissue sampling is necessary for confirming the diagnosis. Histologically, there is an abrupt transition from a well-differentiated chondrosarcoma to a high-grade spindle cell component, which can show focal heterologous differentiation. These features are exemplified in this sine qua non radiology-pathology correlation article.
Keywords: Cricoid cartilage; Head and neck malignancy; Heterologous differentiation; Larynx; Primary dedifferentiated chondrosarcoma; Well-differentiated chondrosarcoma.
Figures


Comment in
-
Regarding "Dedifferentiated Chondrosarcoma of the Larynx".Head Neck Pathol. 2016 Dec;10(4):541. doi: 10.1007/s12105-016-0717-6. Epub 2016 Apr 23. Head Neck Pathol. 2016. PMID: 27107581 Free PMC article. No abstract available.
References
Publication types
MeSH terms
LinkOut - more resources
Full Text Sources
Other Literature Sources
Medical