Diversity of Breast Carcinoma: Histological Subtypes and Clinical Relevance
- PMID: 26740749
- PMCID: PMC4689326
- DOI: 10.4137/CPath.S31563
Diversity of Breast Carcinoma: Histological Subtypes and Clinical Relevance
Abstract
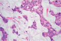
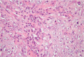
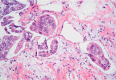
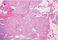
Mammary carcinoma is the most common malignant tumor in women, and it is the leading cause of mortality, with an incidence of >1,000,000 cases occurring worldwide annually. It is one of the most common human neoplasms, accounting for approximately one-quarter of all cancers in females worldwide and 27% of cancers in developed countries with a Western lifestyle. They exhibit a wide scope of morphological features, different immunohistochemical profiles, and unique histopathological subtypes that have specific clinical course and outcome. Breast cancers can be classified into distinct subgroups based on similarities in the gene expression profiles and molecular classification.
Keywords: breast cancer; histological variant of breast carcinoma; invasive ductal carcinoma; lobular carcinoma; molecular classification.
Figures




References
-
- Lakhani SR, Ellis IO, Schnitt SJ, Tan PH, Van de Vijver MJ, editors. WHO Classification of Tumours of the Breast. Fourth ed. IARC; Lyon: 2012. ISBN.13.
-
- Peter B, Bernard L. World Cancer Report. International Agency for Research on Cancer; WHO Press; Lyon, France: 2008.
-
- Fattaneh AT, Peter D. WHO Classification Pathology and Genetics of Tumours of the Breast and Female Genital Organs. IARC Press; Lyon, France: 2003.
-
- Vinay K, Abul KA, Jon CA, Nelson F. Robbins and Cotran Pathologic Basis of Disease. Eight ed. Elsevier; Lyon, France: 2010.
-
- Eheman CR, Shaw KM, Ryerson AB, Miller JW, Ajani UA, White MC. The changing incidence of in situ and invasive ductal and lobular breast carcinomas. Cancer Epidemiol Biomarkers Prev. 2009;18(6):1763–9. - PubMed
Publication types
LinkOut - more resources
Full Text Sources
Other Literature Sources