Middle cerebellar peduncles: Magnetic resonance imaging and pathophysiologic correlate
- PMID: 26751508
- PMCID: PMC4697118
- DOI: 10.4329/wjr.v7.i12.438
Middle cerebellar peduncles: Magnetic resonance imaging and pathophysiologic correlate
Abstract
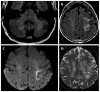
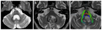
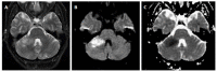
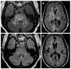
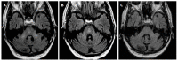
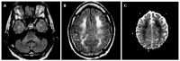
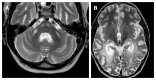
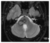
We describe common and less common diseases that can cause magnetic resonance signal abnormalities of middle cerebellar peduncles (MCP), offering a systematic approach correlating imaging findings with clinical clues and pathologic mechanisms. Myelin abnormalities, different types of edema or neurodegenerative processes, can cause areas of abnormal T2 signal, variable enhancement, and patterns of diffusivity of MCP. Pathologies such as demyelinating disorders or certain neurodegenerative entities (e.g., multiple system atrophy or fragile X-associated tremor-ataxia syndrome) appear to have predilection for MCP. Careful evaluation of concomitant imaging findings in the brain or brainstem; and focused correlation with key clinical findings such as immunosuppression for progressive multifocal leukoencephalopahty; hypertension, post-transplant status or high dose chemotherapy for posterior reversible encephalopathy; electrolyte disorders for myelinolysis or suspected toxic-drug related encephalopathy; would yield an appropriate and accurate differential diagnosis in the majority of cases.
Keywords: Brachium pontis; Magnetic resonance imaging; Middle cerebellar peduncle; Multiple sclerosis; Posterior reversible encephalopathy; Progressive multifocal leukoencephalopathy; Toxic encephalopathy.
Figures
References
-
- Ramnani N. The primate cortico-cerebellar system: anatomy and function. Nat Rev Neurosci. 2006;7:511–522. - PubMed
-
- Ormerod IE, Miller DH, McDonald WI, du Boulay EP, Rudge P, Kendall BE, Moseley IF, Johnson G, Tofts PS, Halliday AM. The role of NMR imaging in the assessment of multiple sclerosis and isolated neurological lesions. A quantitative study. Brain. 1987;110(Pt 6):1579–1616. - PubMed
-
- Post MJ, Yiannoutsos C, Simpson D, Booss J, Clifford DB, Cohen B, McArthur JC, Hall CD. Progressive multifocal leukoencephalopathy in AIDS: are there any MR findings useful to patient management and predictive of patient survival? AIDS Clinical Trials Group, 243 Team. AJNR Am J Neuroradiol. 1999;20:1896–1906. - PMC - PubMed
Publication types
LinkOut - more resources
Full Text Sources
Other Literature Sources
Miscellaneous
