Ondansetron-related hemorrhagic posterior reversible encephalopathy syndrome (PRES) following gastric bypass
- PMID: 26759757
- PMCID: PMC4703598
- DOI: 10.1186/s40064-015-1644-9
Ondansetron-related hemorrhagic posterior reversible encephalopathy syndrome (PRES) following gastric bypass
Abstract
Background: Posterior reversible encephalopathy syndrome (PRES) is a clinical-radiographic syndrome formally recognized in 1996, which describes specific changes noted on neuroimaging thought to be related to impaired cerebral blood flow autoregulation and endothelial dysfunction. We report a case of PRES in the setting of increased ingestion of ondansetron; complicated by hemorrhagic transformation and refractory intracranial hypertension. We hypothesize an association of 5-HT3 antagonism and PRES.
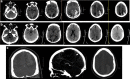
Findings: This is a case study report; with review of previously published literature through PubMed search. We describe the case of a 25 year old man following bariatric surgery who increased his ingestion of ondansetron, taking up to 40 tablets/day due to excessive nausea and vomiting. The patient was hospitalized for progressively more severe headache of 1 week's duration. Computed tomography (CT) revealed bilateral cerebral edema in the parietal and occipital lobes in the setting of elevated blood pressure (BP). Three days into his admission, following improvement in his BP with oral anti-hypertensive but continued use of the ondansetron, the patient developed near complete blindness. CT head imaging revealed progression of the posterior cerebral edema and intraparenchymal hemorrhage. He was admitted to our ICU and despite supportive treatment, his neurological examination worsened while CT head imaging findings remained stable. Invasive multimodality monitoring revealed elevated intracranial pressure. The patient was aggressively treated and after a prolonged hospitalization and rehabilitation course, made a significant recovery.
Conclusion: This case highlights a very rare potential neurological complication of ondansetron, a commonly used medication. We hypothesize an underlying association between PRES and 5-HT3 antagonism, via the latter's potential role in endothelial dysfunction. Prompt recognition and treatment of PRES is essential, in order to prevent secondary cerebral injury and the associated potentially grave consequences.
Keywords: Cerebral autoregulation; Imaging; Intracerebral hemorrhage; Intracranial hypertension; Intracranial pressure; Ondansetron; PRES (posterior reversible encephalopathy syndrome); Stroke.
Figures


References
Grants and funding
LinkOut - more resources
Full Text Sources
Other Literature Sources